Nyheder Parallelteknik - principper og anvendelse 8.4.2026 I denne guide får du et indblik i principperne bag parallelteknik, og hvordan den anvendes i praksis.
Nyheder Ekstrusions-luksation - det skal du vide 9.3.2026 Denne udgave af Tandlægebladets faglige guide stiller skarpt på ekstrusiv luksation. Hvad kendetegner den type af tandskade, og hvordan kan…
Nyheder Parkinsons sygdom, orofacial funktion og tandsundhed 10.2.2026 I denne måneds faglige guide kan du læse om, hvilke odontologiske problemer patienter med Parkinsons sygdom kan opleve som følge…
Nyheder Sådan håndterer du dentin hypersensitivitet 6.1.2026 Denne udgave af guiden giver et overblik over dentin hypersensitivitet. Hvilke problemer skaber ømme og følsomme tænder? Hvordan opstår de,…
Nyheder Bliv klogere på eksostoser 16.12.2025 Hvad er en eksostose? Hvordan diagnosticerer man den? Hvornår skal man behandle og hvordan? Få svarene i denne udgave af…
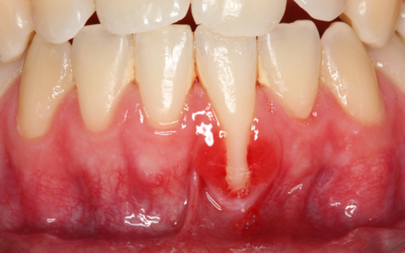
Nyheder Det skal du vide om: Gingival retraktion 20.11.2025 Denne udgave af Tandlægebladets guide sætter fokus på gingival retraktion: Årsag, diagnostik og behandling.
Nyheder Endodontisk behandling af ikke-færdigudviklede permanente tænder 20.10.2025 Denne udgave af Tandlægebladets guide omhandler endodontisk behandling af ”umodne” permanente tænder.
Nyheder Det skal du vide om medfødt tandmangel 16.9.2025 Medfødt tandmangel er en af de mest almindelige udviklingsforstyrrelser hos mennesker. I denne guide får du et overblik over årsager,…
Nyheder Behandling af caries i det primære tandsæt 20.8.2025 Caries hos børn kan udvikle sig alvorligt. Denne guide giver dig et indblik i, hvordan du kan kontrollere og behandle…
Nyheder Det skal du vide om tinnitus og TMD 17.6.2025 Hvordan er sammenhængen mellem tinnitus og smerter i kæbe- og tyggemuskler (TMD)? I denne udgave af guiden kigger vi nærmere…
Nyheder Sådan håndterer du blødningskomplikationer ved tandbehandlinger 19.5.2025 Denne guide giver et overblik over, hvordan du kan reducere risikoen for blødningskomplikationer ved et kirurgisk indgreb i mundhulen.
Nyheder Bliv klogere på after 23.4.2025 Hvad er årsagerne til after? Hvordan diagnosticerer man after, og hvad findes der af behandlingsmuligheder? Denne udgave af guiden giver…
Nyheder Tandlægeskræk hos voksne 17.3.2025 Hvad er tandlægeskræk, og hvad kan du gøre for at hjælpe patienter, der lider af angst for at gå til…
Nyheder Forsikringspligten – hvad er op og ned? 17.2.2025 Der er skrevet og sagt meget om forsikringspligten for landets klinikejere. Her i guiden kan du blive klogere på den…
Nyheder Sådan hjælper du patienter med rygestop 17.12.2024 Denne udgave af tandlægebladets guide giver dig gode tips til, hvordan du kan bistå dine patienter, når de gerne vil…
Nyheder Glasionomercement – hvad er op og ned? 13.11.2024 I denne udgave af guiden får du et overblik over glasionomercementer. Hvilke forskellige typer findes der, og hvad er deres…
Nyheder Antibiotika ved behandling af akutte odontogene infektioner: Hvornår, hvordan og hvorfor? 17.10.2024 I denne måned giver Tandlægebladets faglige guide dig et indblik i baggrunden for brugen af antibiotika til behandling af akutte…
Nyheder Sådan fjerner du et filfragment 10.9.2024 Filfraktur er en ikke ukendt komplikation i forbindelse med rodbehandling. Denne guide giver dig et overblik over, hvad du skal…
Nyheder Det skal du vide om røntgen i forbindelse med implantatbehandling 20.8.2024 Med denne guide får du et overblik over røntgenteknikker, som anvendes i forbindelse med implantatbehandling, deres fordele og ulemper, og…
Nyheder 5 punkter: Bliv klogere på aktinisk keratose 13.6.2024 Denne guide giver dig viden om tilstanden aktinisk keratose på læberne, hvordan den kan opstå, hvordan den diagnosticeres, og hvilke…
Nyheder God ergonomi: 4 ting du skal huske 16.5.2024 I denne guide får du et indblik i de faktorer, som indvirker på ergonomien hos tandlæger. Du får også forslag…
Nyheder Stråling – hvad er op og ned? 19.4.2024 Denne guide beskriver bl.a. forskellige former for røntgen- og radioaktiv stråling, hvordan man måler strålingen, og hvilken risiko stråling udgør…
Nyheder 4 Punkter: Bliv klogere på periimplantære sygdomme 26.3.2024 Har man et implantat, er der en væsentlig risiko for at udvikle periimplantære sygdomme. Denne guide giver dig i fire…
Nyheder Agenesi af 2. præmolar i underkæben 25.3.2024 I gennemsnit er der ét barn i hver skoleklasse, som har mindst et manglende tandanlæg svarende til 2. præmolar i…
Nyheder Arbejdsrelaterede høreskader 22.1.2024 Tre ud af fire tandlæger finder, at støjniveauet på tandklinikker er irriterende, og en del ældre tandlæger med hørenedsættelse kæder…
Nyheder White Spot Lesions – en hyppig bivirkning ved ortodontisk behandling 18.12.2023 Denne guide gør dig klogere på, hvordan white spot lesions opstår og giver dig gode råd om, hvordan læsionerne kan…
Nyheder Det skal du vide om utilsigtede hændelser 21.11.2023 Utilsigtede hændelser (UTH) sker i alle områder af sundhedsvæsnet, og som sundhedsperson har du pligt til at registrere en hændelse.…
Nyheder EFP’s kliniske retningslinje for behandling af periimplantitis 18.9.2023 Denne guide gør dig klogere på diagnostik samt forebyggelse af periimplantitis før, under og efter implantatbehandling med udgangspunkt i EFP’s…
Nyheder Sådan kan du effektivt hjælpe retsodontologerne i identifikationssager 21.8.2023 Guiden giver dig et overblik over, hvordan du kan sikre de bedst mulige betingelser for retsodontologernes arbejde med at identificere…
Nyheder Det skal du vide om medicinrelateret osteonekrose i kæberne 18.7.2023 Behandling med knoglestyrkende behandling (antiresorptiv), immunmodulerende eller antiangiogenetiske præparater kan medføre en risiko for at udvikle osteonekrose. I denne guide…
Nyheder Få overblik over bivirkningsreaktioner på dentalmaterialer 19.6.2023 Bivirkninger af dentale materialer viser sig som toksiske og kontaktallergiske reaktioner. Bliv klogere på de forskellige reaktioner og differentialdiagnoser her.
Nyheder Tandblegning 22.5.2023 Mange patienter ønsker at blege deres tænder af æstetiske årsager. Bliv klogere på årsager til misfarvninger, blegemetoder og kontraindikationer ved…
Nyheder Fire faktorer med betydning for holdbarhed af plastfyldninger i kindtænder 24.4.2023 Når du skal lave en fyldning, er der specielt fire faktorer, der har betydning for kvaliteten fra starten og dermed…
Nyheder Temporomandibulær dysfunktion (TMD) 20.3.2023 Op mod en fjerdedel af den danske befolkning har gener, smerter eller lidelser i kæbeled eller tyggemuskler, også kaldet temporomandibulær…
Nyheder 10 trin til forsegling og infiltration af approksimal emaljecaries uden kavitet med plastbaseret materiale 20.2.2023 Progressionshastigheden for approksimal caries uden kavitet kan reduceres eller helt stoppes med en plastbaseret forsegling eller infiltration. Denne guide giver…
Nyheder Genopbygning af alveolarkammen i forbindelse med implantatbehandling 23.1.2023 Genopbygning af alveolarkammen er ofte nødvendigt, enten før eller i forbindelse med implantatbehandling, når der ses svind af kæbeknoglen. Denne…
Nyheder Sådan motiverer du patienten til rygestop 21.11.2022 Som tandlæge spiller du en central rolle i at motivere og fastholde din patient til at stoppe med at ryge.…
Nyheder Sådan forebygger og reducerer du risikoen for mund- og tandskader hos cancerpatienter 24.10.2022 Behandling af cancer kan medføre alvorlige senfølger i form af skader og sygdomme i mund og tænder hos cancerpatienter. Denne…
Nyheder Hvilke patienter skal visiteres og hvordan? 19.9.2022 Alt for mange svage ældre falder ud af tandplejesystemet. Desværre ofte med store konsekvenser for deres helbred. Få et simpelt…
Nyheder Kæbe- og ansigtsvækst over tid 23.8.2022 Den dentoalveolære udvikling fortsætter gennem hele livet. Denne guide giver dig et overblik over nyere viden om kæbe- og ansigtsvækst…
Nyheder Det skal du være opmærksom på 19.7.2022 Som tandlæge er du forpligtet til at indberette alle formodede alvorlige og uventede lægemiddelbivirkninger. Denne guide giver dig et overblik…
Nyheder De syv hyppigste komplikationer, du skal holde øje med 20.6.2022 Guiden giver dig et overblik over komplikationer, som kan forekomme i forbindelse med protetiske implantatbehandlinger, hvad du kan gøre for…
Nyheder Pulpanekrose og apikal parodontitis: Syv trin til at færdigbehandle ved en enkelt behandlingsseance 11.4.2022 Hvis alle trin i behandlingen kan udføres optimalt, kan det godt lade sig gøre både at rodbehandle og rodfylde en…
Nyheder Sådan påvirker tobak behandlingen 21.3.2022 Hos tobaksmisbrugere er risikoen for at tabe et implantat væsentligt højere end hos ikkerygere. I denne guide får du et…
Nyheder Det skal du vide om parietale perforationer 21.2.2022 Læs med og få et hurtigt overblik over parietale perforationer – bliv klogere på ætiologi, diagnostik, udredning, behandling og prognose…
Nyheder Hvornår og hvordan griber du ind? 24.1.2022 Få et overblik over, hvornår man bør gribe ind i cariesprocessen og i eksisterende carieslæsioner, og hvilke behandlinger der anbefales…
Nyheder Få overblik over oral leukoplaki 20.12.2021 Orale leukoplakier er i nogle tilfælde forstadier til karcinomer. Denne guide giver dig et overblik over, hvad du skal holde…
Nyheder Sådan undgår du eksem eller anden allergisk reaktion 22.11.2021 Brugen af forskellige typer af materiale i tandplejen øger risikoen for håndeksem eller andre allergiske hud- eller luftvejsreaktioner hos tandlæger…
Nyheder Sådan udfører du en spytmåling 26.10.2021 Ændringer i mængden og sammensætningen af helspyt kan medføre øget risiko for at udvikle sygdomme i mundhulen. I denne guide…
Nyheder Her er de vigtigste budskaber 16.9.2021 Den europæiske parodontologiske sammenslutning har udgivet en ny klinisk retningslinje for behandling af parodontitis. Her har 85 europæiske eksperter gennemgået…
Nyheder Bliv klogere på burning mouth syndrome 23.8.2021 Burning mouth syndrome (BMS) er en orofacial smertetilstand, som er karakteriseret ved en vedvarende brændende fornemmelse i en i øvrigt…
Nyheder 6 behandlinger - fordele og ulemper 19.7.2021 De fleste vil i dag finde det uacceptabelt at mangle en incisiv. Manglen kan påvirke talen og tyggeevnen, men er…
Nyheder Her er fakta 22.6.2021 Amning er et essentielt middel til at sikre det nyfødte barn en god start og indebærer også en række sundhedsfordele…
Nyheder Sådan behandler du dem 25.5.2021 Det sidste år har et bestemt virus totalt domineret mediebilledet. Men der er også andre virustyper, og en del af…
Nyheder Sådan forebygger og håndterer du dem 20.4.2021 Implantatindsættelse må generelt betragtes som et sikkert og rutinemæssigt indgreb med en særdeles god prognose. Men indimellem kan der opstå…
Nyheder Få overblik over behandlingen i 7 trin 22.3.2021 Horisontale rodfrakturer udgør op mod 7 % af alle dentoalveolære traumer. De rammer især fortænder i overkæben. Denne guide, der…
Nyheder Hvornår - hvordan - hvor mange? 22.2.2021 Røntgenoptagelser er vigtige redskaber i forbindelse med diagnostik, opfølgning og dokmentation af tand- og kæbetraumer. Men hvor mange optagelser er…
Nyheder Her er den mest bæredygtige tandbørste 21.1.2021 På verdensplan er sundhedssektoren ansvarlig for 5 % af CO2-udledningen, og i Storbritannien har man beregnet, at den nationale sundhedstjeneste…
Nyheder Sådan bidrager du til diagnostik og behandling 15.12.2020 Ca. hvert tiende tilfælde af sinuitis har sit udspring i mundhulen, og øre-næse-hals-lægen (ØNH-lægen) vil derfor ofte henvise patienten til…
Nyheder Sådan hjælper du din patient 23.11.2020 Mundtørhed og nedsat spytsekretion påvirker patienternes sundhed og livskvalitet, så der er god grund til at være opmærksom på xerostomi…
Nyheder Det skal du vide 14.10.2020 Osteomyelitis i kæberne hos børn og voksne er en forholdsvis sjælden, men alvorlig tilstand karakteriseret ved smerter, hævelse og i…
Nyheder Det bør du vide 16.9.2020 Kæbeledsluksation er en tilstand, som alle tandlæger har hørt om, men kun få har oplevet i klinikken. På en akutklinik…
Nyheder Det ved vi om interdental rengøring 19.8.2020 En stor del af de vævsskader, vi behandler i daglig praksis, er forårsaget af biofilm i approksimalrummene. Vi bruger derfor…
Nyheder Overkapning eller ej i relation til caries 10.7.2020 I denne guide er der fokus på en carieslæsion, hvor ekskavering er udført til pulpaperforation. For at træffe et korrekt…
Nyheder Tandunderstøttet brobehandling til patienter med omfattende tandtab 19.6.2020 Skal der fremstilles én sammenhængende brokonstruktion eller flere mindre broer? Og hvor mange støttetænder bør der være, og hvad er…
Nyheder Sådan gør du 20.5.2020 Alle tandlæger får på et tidspunkt brug for at understøtte en klinisk diagnose med en histologisk undersøgelse. Det indebærer, at…
Nyheder Få svar på 12 vigtige spørgsmål 28.4.2020 COVID-19-pandemien har skabt meget opmærksomhed omkring mundbind. Man bør dog ikke glemme, at gummihandsker også er et vigtigt værnemiddel, både…
Nyheder Sådan undgår du pulpaperforation 25.3.2020 Succesfuld ekskavering uden pulpaeksponering indebærer, at man bibeholder en intakt biologisk hårdtvævsbarriere mod pulpa, og at man har gode muligheder…
Nyheder Sådan rådgiver du på evidensbaseret grundlag 18.2.2020 Skal du anbefale din patient en elektrisk tandbørste? Og hvad er bedst til patienter med parodontitis? Få overblik over, hvad…
Nyheder Sådan undgår du komplikationer efter implantatbehandling 21.1.2020 Hvordan minimerer du risikoen for komplikationer efter implantatbehandling? Og hvordan forebygger du bedst muligt peri-implantitis? Det har en række førende…
Nyheder Sådan træffer du den svære beslutning: Revision, operation, ekstraktion – eller observation? 10.12.2019 Det kan være svært at beslutte en rodbehandlet tands videre skæbne. Skal rodbehandlingen revideres, skal der et kirurgisk indgreb til,…
Nyheder Intern blegning af misfarvede, rodbehandlede tænder 25.11.2019 I de fleste tilfælde kan man undgå misfarvning efter endodontisk behandling ved omhyggelig mekanisk og kemisk udrensning af rodkanalsystemet. Men…
Nyheder Det skal du vide om oral cancer 22.10.2019 Planocellulært karcinom udviklet fra overfladeepitelet udgør 80-90 % af intraorale cancere og langt de fleste prolabiecancere. Derudover forekommer adenokarcinomer, som…
Nyheder Det skal du vide om snorken og søvnapnø 30.9.2019 Både snorken og søvnapnø kan være meget generende - både for personen selv men også for en partner. Men der…
Nyheder Hvilken type tandrodsrensning skal du vælge? 29.8.2019 Den klassiske, den kemiske eller måske den højteknologiske? Få overblik over nogle af de bedst dokumenterede metoder til tandrodsrensning og…
Nyheder Sådan opdager du sagittale afvigelser i tide 24.7.2019 Opdager du behandlingskrævende okklusionsafvigelser i tide, så kan patienten blive henvist til udredning og behandling hos en specialtandlæge. Få genopfrisket…
Nyheder Bliv klog på 6 midler til desinfektion til endodontisk behandling 23.5.2019 Desinfektionsmidler er toksiske – det er derfor, de virker. Derfor er det vigtigt, at du har overblik over, hvordan midlerne…
Nyheder Dybt bid for dummies 29.4.2019 I Danmark bliver behandlingen af okklusionsafvigelser varetaget af dygtige specialtandlæger. Men alle tandlæger, der arbejder i både børne- og voksentandplejen,…
Nyheder Hvilken røntgenundersøgelse skal du bruge ved ansigtssmerter? 27.3.2019 De hyppigste årsager til smerte i ansigtsregionen er inflammationer i pulpa og kæber samt temporo-mandibulær dysfunktion (TMD). Når du skal…
Nyheder Gradvis ekskavering – sådan gør du 21.2.2019 Gradvis ekskavering er langt mere skånsom og medfører færre læsioner på pulpa end den traditionelle færdigekskavering, der bliver udført ad…
Nyheder Parodontalkirurgi – hvorfor, hvornår, hvordan? 24.1.2019 I de fleste af de lande, vi normalt sammenligner os med, er parodontalkirurgi en behandlingsform, som bliver udført af specialtandlæger…
Nyheder Sådan beslutter du, om koronektomi er den rette behandling 20.12.2018 Koronektomi kan være et godt alternativ til konventionel amotion af tredjemolarer i underkæben, hvis man skal opretholde tandens vitalitet og…
Nyheder Det skal du vide om en vital pulpa 26.11.2018 Der er ingen tvivl om, at en sund tand er en tand med en vital pulpa. Men er en vital…
Nyheder Pulpotomi som akut behandling 25.10.2018 Få genopfrisket fremgangsmåden ved pulpotomi i denne guide, som er baseret på et svensk faktablad samt på to nyere undersøgelser,…
Nyheder 15 trin til behandling af intern resorption 27.9.2018 Få overblik over behandling af interne rodresorptioner med denne 15 trins guide, som er baseret på en kasuistik.
Nyheder 25 trin til behandling af cervikal resorption 27.9.2018 Få indblik i cervikale resorptionsforløb i denne 25 trins guide, som er baseret på en kasuistik.
Nyheder Sådan behandler du eksterne rodresorptioner 27.9.2018 Se hvordan du behandler eksterne resorptioner i denne 25 trins guide baseret på en kasuistik.
Nyheder Det skal du vide om smerter i kæbeleddet 24.8.2018 Studier viser, at hver 10. har kroniske kæbeledssmerter, og op imod 16 % angiver, at de har haft ondt i…
Nyheder Sådan behandler du alvorligt tandslid 3.7.2018 Flere og flere patienter får konstateret alvorligt tandslid, og det giver nye udfordringer ude på klinikkerne. Ny europæisk konsensusrapport giver…