Sociale og samfundsmæssige implikationer af tandtab og temporo-mandibulær smerte og rehabilitering
Ved smerte relateret til temporo-mandibulær dysfunktion anbefales også non-invasive behandlinger, såsom patientuddannelse, selvbehandling, kognitiv adfærdsændring, udstrækning og okklusale apparaturer.

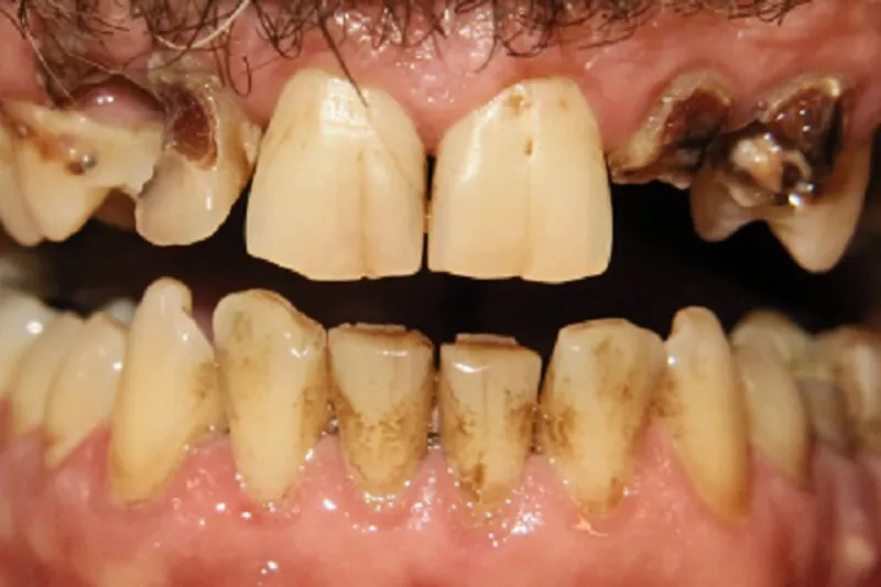
Dårlig oral sundhed, som ved fx tandtab og smerte relateret til temporo-mandibulær dysfunktion, kan påvirke en persons livskvalitet og sociale relationer i høj grad.
Disse individuelle konsekvenser kan blive vigtige for samfundet, fordi den dårlige orale sundhed kan føre til generelle sundhedsproblemer, større udgifter i sundhedsvæsnet, fravær fra arbejde og arbejdsløshed.
Ulighed er en stor udfordring i relation til tandtab, og socialt udsatte borgere har oftere et ikke-funktionelt tandsæt.
Den socio-økonomiske ulighed er mindre udtalt ved smerte relateret til temporo-mandibulær dysfunktion, hvor den primære ulighed er kønsbetinget med en overvægt i prævalens blandt kvinder.
En relativt non-invasiv og simpel aftagelig protetisk løsning kan være et godt behandlingsvalg for socialt udsatte, og der er indikation af, at oral rehabilitering kan hjælpe i en social rehabilitering af disse borgere.
Ved smerte relateret til temporo-mandibulær dysfunktion anbefales også non-invasive behandlinger, såsom patientuddannelse, selvbehandling, kognitiv adfærdsændring, udstrækning og okklusale apparaturer.
Klinisk relevans:
Det er vigtigt for klinikere at forstå, hvordan tandtab og TMD-smerte påvirker patienternes livskvalitet, og hvilke sociale og samfundsmæssige konsekvenser dette medfører. Det er ligeledes vigtigt at vide, hvornår og hvordan rehabilitering af de to tilstande kan forbedre patienternes liv, og hvilke fordele dette kan indebære for samfundet. Kendskab til disse forhold vil hjælpe klinikeren til i højere grad at tage patientens ønsker i betragtning ved behandlingsplanlægningen og forstå, hvordan behandling kan hjælpe samfundet.