Behandling af anteriort tandslid

Tandslid ses med øget hyppighed i tandlægepraksis. Spørgsmålet er, hvornår det går fra fysiologisk til et patologisk tandslid. Nærværende artikel undersøger dette.

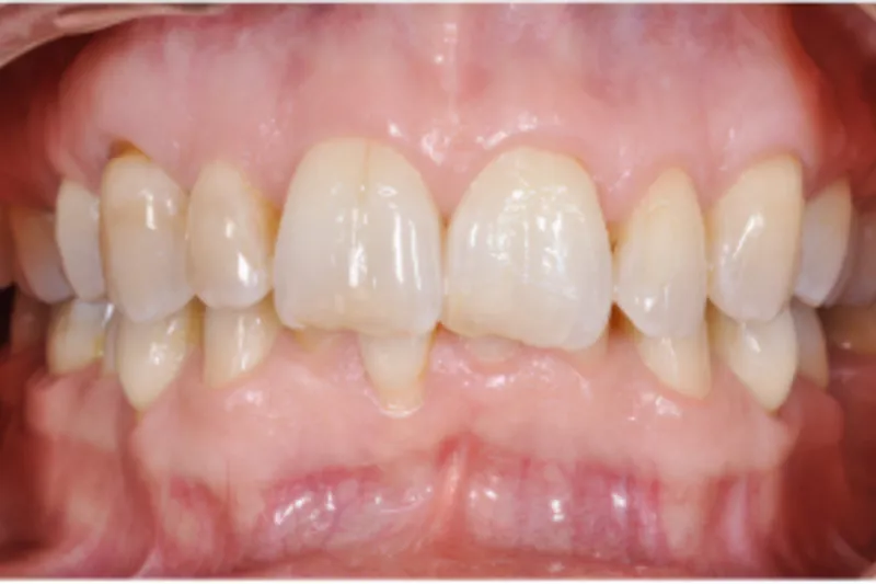
Figur 1A
Oversigtsartikel Dato: 12.05.2025

Tandslid ses med øget hyppighed i tandlægepraksis. Spørgsmålet er, hvornår det går fra fysiologisk til et patologisk tandslid. Sidstnævnte defineres som atypisk tandslid for patientens alder, som medfører smerter eller ubehag, funktionelle problemer eller forringet æstetik, og som, hvis det fortsætter, kan give anledning til uønskede komplikationer af stigende kompleksitet. En forudsætning for succesfuld behandling af tandslid er en identificering af sliddets ætiologi, således at forebyggende tiltag kan iværksættes. Endvidere er det hensigtsmæssigt med en graduering af sliddet og dermed en bedømmelse af alvorlighedsgraden. Vi har til de to skitserede kasus anvendt det nyeste, evidensbaserede indeks Tooth Wear Evaluation System. Dette giver mulighed for at graduere tandslid forårsaget af såvel erosion som attrition. I begge tilfælde behandles der med bidhævning foretaget med og uden ortodonti for at skabe tilstrækkelig plads til genopbygning af de slidte tænder. Sammenfattende kan det siges, at ortodonti bør overvejes som interdisciplinær behandling ved tandslid. Den restaurerende behandling bør være så noninvasiv som muligt, og der kan opnås meget flotte resultater med plast. Information om behovet for reparation og udskiftning af plastrestaureringer kombineret med en samarbejdsvillig og engageret patient er væsentlig for behandlingssucces.

Klinisk relevans:

Der er en stigning i antallet af patienter, som ønsker behandling af tandslid. Det er op til tandlægen i et samarbejde med patienten at undersøge årsagen og alvorlighedsgraden af tandsliddet. Herefter kan forebyggende og rehabiliterende behandling udføres. Udfordringen ved anteriort tandslid er hyppigt at skabe plads til restaurerende behandling. Dette kan opnås med eller uden ortodonti. Den restaurerende behandling bør være så noninvasiv som muligt, og ved plastrestaureringer bør patienten informeres om behov for løbende reparation.

Treatment of anterior tooth wear


Tooth wear is increasingly observed in dental practice. The question is when it transitions from physiological to pathological tooth wear. The latter is defined as atypical tooth wear for the patient's age, causes pain or discomfort, functional problems, or deterioration of aesthetic appearance, which, if it progresses, may give rise to undesirable complications of increasing complexity. A prerequisite for successful treatment of tooth wear is identifying the aetiology of the wear so that preventive measures can be implemented. Furthermore, it is advisable to grade the wear and thus assess the severity. For the two outlined cases, we used the evidence-based index, the Tooth Wear Evaluation System. This allows for grading tooth wear caused by both erosion and attrition. In the two cases, treatment involved an increase in the vertical dimension of occlusion, performed with and without orthodontics to create sufficient space for the reconstruction of the worn teeth. In summary, orthodontics should be considered as an interdisciplinary treatment for tooth wear. Restaurerende treatment should be as non-invasive as possible, and excellent results can be achieved with composite. Information about the need for repair and replacement of composite restorations, combined with a cooperative and engaged patient, is essential for treatment success.