Protetisk rehabilitering efter partiel maksilektomi med patientspecifikt implantat

Patientspecifikke implantater kan være et behandlingsalternativ i de patienttilfælde, hvor genopbygning af processus alveolaris og efterfølgende implantatindsættelse ikke er muligt for at opnå et tilfredsstillende behandlingsresultat.

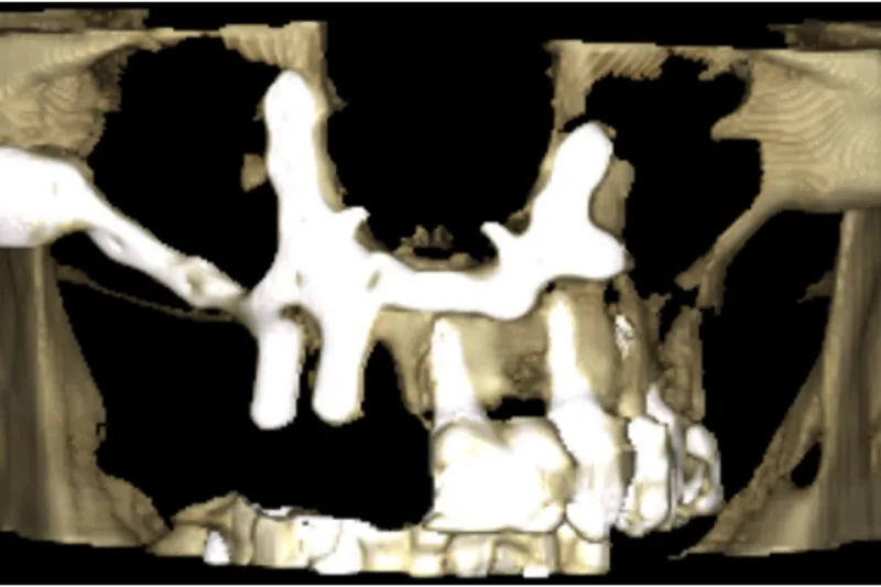
Figur 4 (1)
Kasuistik Dato: 04.09.2024

Baggrund
Implantatretineret protetisk rehabilitering af den helt eller delvist tandløse maksil eller mandibel med konventionelle implantater kan være vanskelig eller umulig som følge af udtalt svind af processus alveolaris efter tab af tænder eller større knogledefekt efter ablativ kirurgi. Et patientspecifikt implantat er et individualiseret implantat, som designes og fremstilles med præcis tilpasning til knoglen. Implantatet fikseres på knogleoverfladen, hvorfor forudgående genopbygning af processus alveolaris ikke er nødvendig, og det patientspecifikke implantat kan belastes immediat.

Patienttilfælde
I nærværende artikel præsenteres en 73-årig mand, som blev rehabiliteret med et patientspecifikt implantat som følge af manglende knogle og kompromitteret mundslimhinde i højre side af maksillen efter tidligere ablativ kirurgi.

Konklusion
Patientspecifikke implantater kan være et behandlingsalternativ i de patienttilfælde, hvor genopbygning af processus alveolaris og efterfølgende implantatindsættelse ikke er muligt for at opnå et tilfredsstillende behandlingsresultat.

Klinisk relevans:

Protetisk rehabilitering med patientspecifikke implantater kan anvendes i særlige patienttilfælde uden forudgående knoglegenopbygning på trods af udtalt atrofi af processus alveolaris eller manglende knogle efter tidligere traume samt ved ablativ kirurgi. Et patientspecifikt implantat er et individualiseret titaniumimplantat, som designes i et computerbaseret softwareprogram, som er præcist tilpasset patientens anatomi på basis af en CT-scanning og intraoral scanning af mundslimhinden. Fremstilling af patientspecifikke implantater er omkostningstung, hvorfor teknikken primært anvendes i de patienttilfælde, hvor traditionel behandling med genopbygning af processus alveolaris og efterfølgende indsættelse af konventionelle implantater ikke er muligt for at opnå et tilfredsstillende behandlingsresultat. 

Prosthetic rehabilitation using patient-specific dental implant after hemi-maxillectomy


Background – Implant-retained prosthetic rehabilitation of the fully or partially edentulous maxilla and mandible with conventional implants may be compromised or impossible due to severe atrophy of the alveolar ridge following tooth loss or a severe bony defect following ablative surgery. Patient-specific implants are individualised implant that are designed and manufactured to be precisely adapted to the alveolar ridge. The implant is fixed on the bone, so that prior alveolar ridge augmentation is not necessary and immediate loading is possible.

Case study – In the present paper, the case of a 73-year-old man is presented. He was rehabilitated with a patient-specific implant due to a severe bone defect and compromised mucosa in the upper right maxilla with caused by ablative surgery.

Conclusion – Patient-specific implants can be a treatment alternative in those patients where, to obtain satisfactory outcome, alveolar ridge augmentation prior to implant placement is not feasible.