Sygdomme og tilstande, der påvirker spytkirtlerne og deres funktion
Denne artikel giver en oversigt over ætiologi, patogenese, kliniske manifestationer, diagnostik og behandling af tilstande med nedsat spytkirtelfunktion, almindelige spytkirtelsygdomme (mucosacyster og spytsten) og spytkirteltumorer.

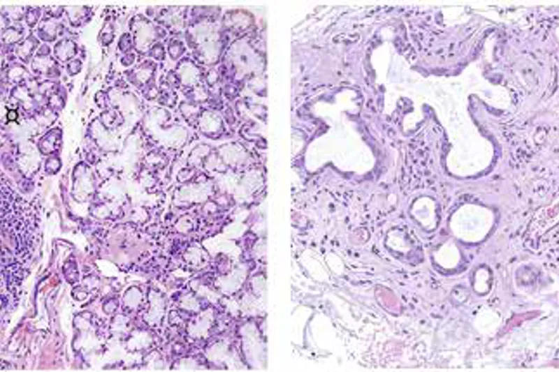
Hypofunktion af spytkirtlerne (objektivt påvist reduktion af spytsekretionen) og xerostomi (den subjektive fornemmelse af mundtørhed) er almindeligt forekommende tilstande. Patienter med nedsat spytsekretion og ændret sammensætning af spyttet har øget risiko for at udvikle caries, orale gær svampeinfektioner, mundslimhindeforandringer, invaliderende symptomer, synkebesvær og ændret smagsoplevelse. Den hyppigste årsag til xerostomi og nedsat spytsekretion er indtagelse af lægemidler, der påvirker den nervøse regulering af spytsekretionen. Strålebehandling af cancer i hoved og halsregionen medfører ofte permanent og alvorlig xerostomi og hypofunktion af spytkirtlerne som følge af degeneration af spytkirtelvæv, der ligger inden for strålefeltet. Sjögrens syndrom, en autoimmun sygdom der påvirker eksokrine kirtler, forårsager permanent xerostomi og hyposalivation på grund af immunmedierede forandringer i spytkirtlernes struktur. Aldring kan ligeledes medføre strukturændringer i spytkirtlerne, som kan påvirke spytsekretionen. Denne artikel giver en oversigt over ætiologi, patogenese, kliniske manifestationer, diagnostik og behandling af tilstande med nedsat spytkirtelfunktion, almindelige spytkirtelsygdomme (mucosacyster og spytsten) og spytkirteltumorer.
Klinisk relevans:
Xerostomi og spytkirteldysfunktion er komplekse tilstande med stigende udbredelse, især i den ældre del af befolkningen. Det er vigtigt, at tandlæger er opmærksomme på xerostomi og påbegynder udredning af symptomerne med henblik på at påvise årsagen og på den baggrund igangsætte relevante behandlingstiltag. Det er ligeledes vigtigt, at tandlæger har kendskab til andre spytkirteltilstande som fx mucosacyster og spytsten, da disse er relativt hyppigt forekommende.
Conditions and diseases affecting the salivary glands and their function
Salivary gland hypofunction (objective evidence of diminis hed salivary output) and xerostomia (the subjective sensation of dry mouth) are common conditions. Patients with salivary gland hypofunction and altered saliva composition are at increased risk for developing caries, oral fungal infections, oral mucosal changes and debilitating symptoms, swallowing problems, and diminished or altered taste. The most prominent cause of xerostomia and salivary gland hypofunction is the intake of medications interfering with the nervous regulation of salivary secretion. Radiotherapy for cancer in the head and neck region often leads to permanent and severe xerostomia and salivary gland hypofunction due to degeneration of the salivary gland tissue involved in the radiation field. Sjögren’s syndrome, an autoimmune disease affecting exocrine glands, causes permanent xerostomia and hyposalivation due to immunemediated structural changes in the salivary glands. Ageing may also be associated with structural changes in the salivary glands that can influence the functions of saliva. This article reviews the aetiopathogenesis, clinical manifestations, diagnosis, and management of conditions with salivary gland hypofunction, common salivary gland diseases (mucous cysts and sialoliths) and salivary gland tumours.