Histopatologi giver viden om caries – kan kunstig intelligens bidrage?
Der er eksempler på, at AI både kan foreslå overbehandling, men også anbefale forebyggende koncepter som fx undgåelse af pulpaperforation.

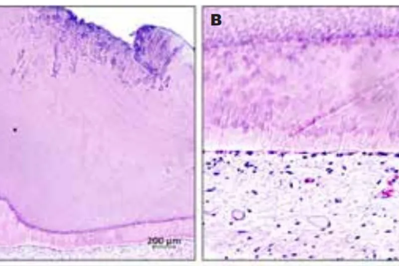
Histopatologien har givet klinikeren en forståelse af, hvordan carieslæsionen spreder sig i emaljen langs med emalje-dentin-grænsen og videre ind i pulpa-dentinorganet, hvilket har dannet teoretisk grundlag for valg af behandlingstype (nonoperativ eller operativ). Særligt er viden om det dybe cariesangreb blevet yderst relevant, idet der er en øget international interesse for brugen af pulpabevarende behandlinger som fx den selektive og den gradvise ekskaveringsmetode som et alternativ til rodbehandling ved meget fremskredne cariesangreb. I en nylig forsvaret ph.d.-afhandling blev der gjort nogle opsigtsvækkende basalbiologiske fund ved en nærmere undersøgelse af ubehandlede ekstremt dybe carieslæsioner; udover tilstedeværelsen af brusk og pulpapolypper blev der fremsat den hypotese, at det måske ville være muligt at benytte forekomsten af radiologisk synlig intrapulpal mineralisering som en indikator for pulpaskade. Kunstig intelligens (AI) inden for cariesforskning har særligt omhandlet diagnostik og behandlingsvalg. Som bruger er det dog vigtigt at være bevidst om begrænsninger i AI-teknologien, og at algoritmerne inden for AI hele tiden skal underlægges ”træning”, hvorved den nyeste forskning kan inddrages. Der er eksempler på, at AI både kan foreslå overbehandling, men også anbefale forebyggende koncepter som fx undgåelse af pulpaperforation.
Klinisk relevans:
Det er med baggrund i ny viden om cariessygdommen, at vi kan modificere vores behandlinger. Et godt eksempel er den ekstensive carieslæsion, hvor vi i dag mere præcist kan definere, hvornår noninvasive pulpabehandlinger har deres indikationsområde. Senstadier af inflammation såsom intrapulpal forkalkning er formodentlig tydelige tegn på irreversibel beskadigelse af det pulpale væv, og endelig er fundet af bakterier i pulpa foreneligt med såkaldt ekstremt dyb caries, hvor carieslæsionen radiologisk har kontakt til pulpa og endodontisk behandling er nødvendig. AI er en hurtigt udviklende teknologi, der kan bistå diagnostik og behandlingsvalg. Den kan vejlede, men også mislede og bør aldrig alene erstatte tandlægens beslutningsproces.
Histopathology provides knowledgeabout diagnostics and treatment of caries – can artificial intelligence contribute?
The histopathology has given the clinician an understanding of how the carious lesion spreads in the enamel, along the enamel-dentine junction, and further into the pulp-dentin organ. This has formed the theoretical basis for selecting type of treatment (non-operative or operative). In particular, knowledge about the deep carious lesion has become highly relevant, as there is an increased international interest in the use of pulp-preserving treatments, such as the selective and stepwise excavation approach, as an alternative to root canal treatment in advanced carious lesions. In a recently defended Ph.D. thesis, some startling basal-biological findings were made, when examining untreated extremely deep carious lesions. In addition to the presence of cartilage and pulp polyps, it was hypothesized that it might be possible to use the presence of radiologically visible intrapulpal mineralisation as an indicator of pulp damage. Artificial intelligence (AI) in caries research has particularly focused on diagnostics and treatment choices. As a user, however, it is important to be aware of the limitations of AI technology and that the algorithms within AI must be subjected to ongoing “training”, with the latest research included. There are examples where AI can both suggest overtreatment but also recommend preventive concepts such as avoidance of pulp perforation.