Endodontisk diagnostik
Nye og forbedrede metoder til vital pulpabehandling gør det muligt at bevare pulpas vitalitet i flere tilfælde i dag end tidligere, og dermed øges behovet for valide metoder til sikker identifikation af pulpas tilstand.

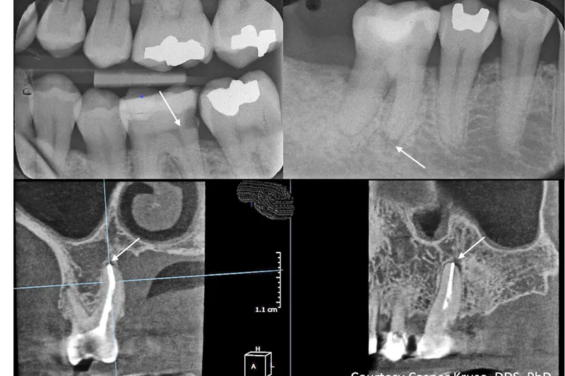
Endodontisk diagnostik fokuserer hovedsagelig på identifikation af infektionsbetingede inflammationstilstande i pulpa og de periapikale væv. Anamnese, aktuelle og tidligere symptomer, kliniske observationer og tests samt radiologiske fund er de faktorer, der almindeligvis leder frem til diagnosen, men evidensen for en korrelation mellem specifikke anamnestiske, kliniske fund og pulpas sande tilstand er beskeden, og der er ikke klar konsensus om de diagnostiske kriterier. Nye og forbedrede metoder til vital pulpabehandling gør det muligt at bevare pulpas vitalitet i flere tilfælde i dag end tidligere, og dermed øges behovet for valide metoder til sikker identifikation af pulpas tilstand. En korrekt diagnose er en forudsætning for sufficient behandling, og pålideligheden af aktuelle og fremtidige diagnostiske tegn og tests bør undersøges i studier af høj kvalitet. I dag anvendes der forskellige diagnostiske terminologier i de nordiske lande, men de er dog sædvanligvis i et vist omfang baseret på ICD-10. Det ville være gavnligt for både tandlæger og patienter, hvis der kunne opnås enighed om diagnostiske termer på baggrund af klare og operationaliserede kliniske og datafunderede diagnostiske kriterier.
Klinisk relevans:
Den endodontiske diagnose er afgørende for korrekt vurdering af det endodontiske behandlingsbehov og for valget af behandling. Efter fremkomsten af nye vitale pulpabehandlinger kan flere tænder forblive vitale, og rodkanalbehandling kan undgås til gavn for patienterne. I dag hviler procedurerne for pulpal og periapikal diagnostik i et vist omfang på ekspertvurderinger, og der er ikke konsensus om diagnostiske termer og kriterier, hverken globalt eller inden for de nordiske lande. Der er behov for studier af høj kvalitet til belysning af den diagnostiske nøjagtighed og anvendelighed af de diagnostiske tegn og tests, vi i dag anvender, og til udvikling af nye diagnostiske redskaber, som med høj sikkerhed kan udpege den korrekte diagnose.Diagnostics in endodontics
Endodontic diagnostics is mainly focused on identifying pulpal and periapical infection-driven inflammation. History of events, previous and current symptoms, clinical observations and tests, and radiographic examination findings are the factors commonly used to derive the diagnosis, but the evidence for the correlation of specific anamnestic or clinical findings with the true state of the pulp is scarce, and clear consensus for diagnostic criteria is lacking. New and improved methods for vital pulp treatment enables preservation of pulp vitality to a greater extent today than historically, with increasing demands of valid methods for reliable identification of the state of the pulp. A correct diagnosis is a prerequisite for appropriate management, and the accuracy of current and future diagnostic cues and tests should be examined in high-quality studies. Today, diagnostic terms vary between the Nordic countries but are usually to some extent based on ICD-10. Mutually agreed diagnostic terms based on clear and operationalized clinical and data-driven diagnostic criteria would be helpful for the dentist and benefit the patients.