Unicystisk ameloblastom og follikulær cyste i overkæben
Det unicystiske ameloblastom kan være svært at adskille fra den follikulære cyste. Histologisk undersøgelse er vigtigt for diagnosen og behandlingsvalget. Det fjernes kirurgisk med konserverende eller radikal tilgang. Patientens alder, ameloblastomets lokalisation og type har indflydelse på behandlingsvalget.

Baggrund
Det unicystiske ameloblastom er en benign tumor med høj recidivtendens, som hyppigst forekommer i mandiblen. Ubehandlet kan det unicystiske ameloblastom vokse til store proportioner.
Patienttilfælde
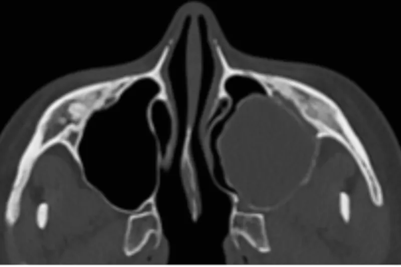
En 28-årig kvinde blev henvist fra egen tandlæge til Tand-, Mund- og Kæbekirurgisk Afdeling, Aarhus Universitetshospital, for fjernelse af cystelignende forandring i sinus maxillaris.
Ved røntgenundersøgelse fandtes en større cystelignende radiolucent forandring og en displacering af +8.
Der blev i generel anæstesi foretaget biopsi af den cystelignende forandring samt fjernelse af +7 og +8. Den histopatologiske undersøgelse viste, at det var et unicystisk ameloblastom og en follikulær cyste.
Patienten fik efterfølgende foretaget fjernelse af tumor samt grundig curettage og indgår nu i et langvarigt kontrolforløb.
Konklusion
Det unicystiske ameloblastom kan være svært at adskille fra den follikulære cyste. Histologisk undersøgelse er vigtigt for diagnosen og behandlingsvalget. Det fjernes kirurgisk med konserverende eller radikal tilgang.
Patientens alder, ameloblastomets lokalisation og type har indflydelse på behandlingsvalget.
Klinisk relevans:
Det unicystiske ameloblastom er en benign tumor, som er lokalt invasiv og i nogle tilfælde har høj recidivtendens. Klinisk og radiologisk er den svær at adskille fra en follikulær cyste og en keratocyste. Histologisk undersøgelse er derfor vigtigt for at kunne stille den korrekte diagnose. Det unicystiske ameloblastom fjernes kirurgisk ved konservativ eller radikal tilgang. Patientens alder, typen og lokalisationen af det unicystiske ameloblastom har indflydelse på den kirurgiske behandling.