Sådan behandler du alvorligt tandslid
Flere og flere patienter får konstateret alvorligt tandslid, og det giver nye udfordringer ude på klinikkerne. Ny europæisk konsensusrapport giver guidelines for behandling af svært tandslid – få overblik over rapportens anbefalinger i denne guide og læs rapporten i næste nummer af Tandlægebladet.

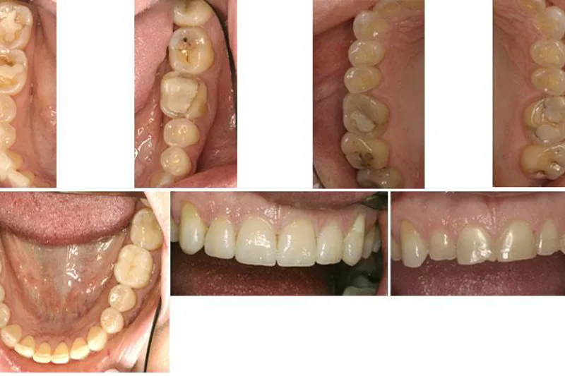
Definition af alvorligt tandslid
Tandslid med omfattende tab af tandsubstans, med eksponering af dentin og betydeligt tab (≥ 1/3) af den kliniske krone.
Definition af patologisk tandslid
Atypisk tandslid for patientens alder, som medfører smerter eller ubehag, funktionelle problemer eller forringet æstetik, som – hvis det fortsætter – kan give anledning til uønskede komplikationer af stigende kompleksitet.
Sådan risikovurderer du
En forudsætning for succesfuld behandling af alvorligt tandslid er en optimal diagnostisk procedure. Foretag risikovurderingen med henblik på:
- Udredning af tandsliddets multifaktorielle ætiologi
- Mulighed for ændring af de ætiologiske forhold
- Sliddets omfang i forhold til patientens alder
- Sandsynligheden for at begrænse tandslid fremadrettet
- Potentielle effekter ved yderligere slid
- Kommende bivirkninger ved restorative behandlinger
Sådan træffer du beslutning om den bedste behandlingsplan
- Restorativ behandling er ikke altid nødvendigt. Der skal altid rådgives om forebyggende tiltag og træffes foranstaltninger for overvågning, uafhængigt af tandsliddets alvorlighedsgrad.
- Hvis tandsliddet viser sig at være i progression med en hastighed, der giver grund til bekymring, skal patienten involveres i identificering af de vigtigste ætiologiske faktorer, og der skal indgås en gensidigt accepteret aftale om et program for forebyggende tiltag.
- Hvis patienten ikke har klager, kontrolleres effekten af de forebyggende tiltag, helst på grundlag af (digitale) modeller, intra-orale fotos og et evalueringsindeks. Når det ses, at sliddet ikke er i progression, diskuteres behovet for restorativt indgreb med patienten. Hvis beslutningen bliver, at der fortsat skal observeres, kan der foretages fornyet evaluering med et interval på to eller tre år.
- Hvis patienten er bekymret for sit udseende eller har klager, bør restorative muligheder gennemgås kritisk med patienten. Der bør ikke tilrådes afgørende restorative tiltag i tilfælde af aktiv sygdom. Restaureringer i plast og keramik sætter ikke en stopper for slidprocessen, de kan blot moderere sliddets natur, hastighed og lokalisation. Derudover vil de fleste restaureringer, som regnes for ”permanente”, vise sig at have en begrænset holdbarhed hos patienter med alvorligt tandslid som følge af bruksisme og erosion.
Strategier for behandling
- Forebyggende tiltag fremadrettet er nødvendigt
- Hvilken behandling trænger den enkelte tand til?
- Mindst mulig invasiv behandling – især på unge
- Kun behandling af tænder, der trænger
- Mindst mulig behandling oftest bedst
- Non-invasive behandlinger kan have kortere holdbarhed end invasive og skal vedligeholdes
- Behandling med plast koster mindre for patienten, hvilket gør det muligt for flere at blive behandlet
5 principper for behandling af patienter med alvorligt tandslid
- Diagnosticering af sliddets ætiologi bør have førsteprioritet og føre til initiering af relevante forebyggende tiltag.
- Patienter med moderat til alvorligt tandslid, men uden (funktionelle eller æstetiske) klager, bør rådes til først at observere situationen og først herefter afgøre, om der er tale om et fremadskridende tandslid eller ej.
- Restorativ behandling bør være så tandbevarende som muligt og involvere færrest mulige invasive behandlingsstrategier i henhold til det dynamisk restorative behandlingskoncept.
- Direkte og indirekte minimalt invasive teknikker kan benyttes ved brug af adhæsive materialer. Traditionelle invasive restaureringer forbliver en mulighed i særlige tilfælde og under specielle omstændigheder.
- En redegørelse om forskellige behandlingsmuligheder og forventelige komplikationer bør indgå i det informerede samtykke.
Kilder: Overtandlæge Ulla Pallesen, Tandlægeskolen i København samt artiklen Severe tooth wear: European consensus statement on management guidelines. Bas AC Loomans, Niek JM Opdam, Thomas Attin et all. Adhes Dent 2017;19:111-9.