Få komplikationer efter koronektomi

Koronektomi er en teknik, der har vundet betydeligt indpas de senere år i forbindelse med kirurgisk behandling af symptomgivende retinerede tredjemolarer i underkæben, og en ny klinisk prospektiv undersøgelse, som er udført på Aarhus Universitet og Aarhus Universitetshospital, tyder på, at komplikationerne i forbindelse med denne behandling er meget beskedne.
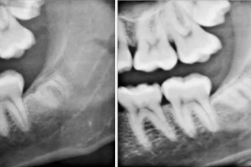
I undersøgelsen blev 231 rodkomplekser fulgt klinisk og radiologisk i gennemsnitlig 5,7 år efter koronektomi. Koronektomi blev valgt frem for fjernelse af hele tanden, fordi der på CBCT blev påvist en tæt relation mellem rodkomplekset og canalis mandibularis.
I alt blev der konstateret 37 tilfælde af postoperative komplikationer (16,0 %), hvoraf de fleste var infektioner, som kunne behandles med antibiotikum. Prævalensen af nerveskader på n. alvolaris inferior var 1,3 % (tre tilfælde af lettere føleforstyrrelser), og 3,5 % af de efterladte rødder måtte fjernes på et senere tidspunkt, primært fordi de vandrede og brød igennem mundslimhinden.
Forfatterne konkluderer, at koronektomi af tredjemolarer med tæt relation til canalis mandibularis er en sikker behandling med god langtidsprognose. Det påpeges desuden, at nerveskader i forbindelse med fjernelse af tredjemolarer i de senere år har udgjort 16 % af alle anmeldte skader i privat praksis, og at der i gennemsnit er udbetalt 6,7 mio. kr. pr. år i erstatning til disse patienter.
Prævalensen af nerveskader på n. alvolaris inferior var 1,3 %
Pedersen MH, Bak J, Matzen LH, Hartlev J, Bindslev J, Schou S, Nørholt SE. Coronectomy of mandibular third molars: a clinical and radiological study of 231 cases with a mean follow-up period of 5.7 years. Int J Maxillofac Surg 2018;47;1596-1603.