Høj cariesaktivitet efter blodpropper i hjernen
Alvorlig sygdom, der som i denne kasuistik fører til nedsat motorisk evne, kan indebære omfattende oral sygdom, i dette tilfælde særligt i form af destruktion af tændernes hårdtvæv.

Baggrund – Kognitiv og fysisk funktionsnedsættelse hos ældre personer fører ofte til betydelig oral sygdom. Det kan være i form af caries, parodontal nedbrydning og slimhindeinfektioner. Helt afgørende for denne udvikling er, at evnen til at gennemføre den daglige mundhygiejne enten forringes eller helt forsvinder.
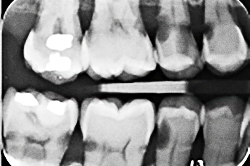
Patienttilfælde – En 73-årig mand rammes i 2010 af to blodpropper i hjernen. Patienten tilses af hjemmeplejen, indtil han i 2012 flytter på plejehjem. I løbet af 2-3 år udvikles mere end 20 carieslæsioner. Otte tænder ekstraheres, og øvrige carierede tænder restaureres med plastfyldninger. Der instrueres flere gange i hjemmetandpleje, og personalet på plejehjemmet forsøger at hjælpe med tandbørstning. Patienten er dog ikke samarbejdsvillig, formodentlig fordi han selv før sygdom har været vant til at klare den daglige mundhygiejne selv.
Konklusion – Alvorlig sygdom, der som her fører til nedsat motorisk evne, kan indebære omfattende oral sygdom, i dette tilfælde særligt i form af destruktion af tændernes hårdtvæv. Det har været vanskeligt for plejepersonalet at hjælpe med at opretholde en god mundhygiejne, da patienten har modsat sig dette.
Klinisk relevans:
Den ældre patient, der på grund af sygdom har mistet evnen til at varetage den daglige mundhygiejne, bør anvises hjælp til daglig mundpleje via hjemmepleje eller visitation til omsorgstandplejen. Er patienten bosiddende på et plejehjem, bør tandpleje og plejehjem indlede et tværfagligt samarbejde med henblik på opretholdelse af god mundhygiejne.High caries activity after strokes
Background – Cognitive and physical impairment in elderly persons often lead to significant oral disease. It can be in the form of periodontal breakdown, mucosal infections or as in this case severe dental decay. The decisive factor was that the patient lost the ability to carry out daily oral hygiene, which is crucial.
Case study – A 73-year-old man suffered from two strokes in 2010. After the strokes, the patient was taken care of by professional caretakers in his own home. The patient moved into a nursing home in 2012. During the following 2-3 years, more than 20 caries lesions developed. Eight teeth were extracted, and the rest of the decayed teeth were restored with composite fillings. The staff at the nursing home was instructed on how to help the patient with his daily oral hygiene. However, the patient was not willing to cooperate, presumably due to the fact that previously he was used to taking good care of his daily oral hygiene.
Conclusion – Severe illness causing impaired skills can lead to extensive oral disease. In this case in the form of destruction of the dental hard tissue. Due to lack of cooperation from the patient, it is difficult to maintain a sufficient level of daily oral hygiene.