Behandling af voksen patient med amelogenesis imperfecta
En af fordelene ved at undgå indirekte restaureringer i hele tandsættet er, at økonomien herved kan holdes på et lavere niveau, konkluderer overtandlæge Ulla Pallesen.

Baggrund
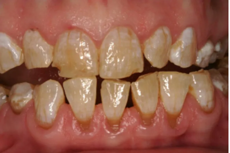
Patienter med amelogenesis imperfecta (AI) har oftest et livslangt behandlingsbehov, fordi insufficient mineraliseret emalje fører til fraktur, slid, symptomer, caries, begrænset holdbarhed af restaureringer og insufficient æstetik. Det er derfor vigtigt, at behandlingsvalg relateres til patientens alder og behov, samt at en noninvasiv tilgang tilstræbes.
Patienttilfælde
I denne artikel gennemgås behandlingen af en 42-årig kvinde med amelogenesis imperfecta, hvor slid og insufficient æstetik længe har været et problem. Der udføres bidhævning med en kombination af direkte plast og keramiske restaureringer og noninvasiv æstetisk behandling i fronten med keramiske skalkroner og direkte plast. De kliniske procedurer beskrives udførligt undervejs. Til sidst diskuteres forskellige behandlingsmuligheder for AI-patienter og for patienter med behov for rekonstruktion af biddet.
Konklusion
Kombinationen af restaureringer i direkte plast og keramik udført inden for en relativt kort periode kunne løse patientens æstetiske behov og begrænse slid fremadrettet. En af fordelene ved at undgå indirekte restaureringer i hele tandsættet var, at økonomien herved kunne holdes på et lavere niveau.
Klinisk relevans:
Patienter med amelogenesis imperfecta (AI) har meget forskellige behandlingsbehov, og emaljens ufuldstændige mineralisering giver ofte udfordringer med hensyn til holdbarhed af restaureringer. Det betyder, at behandlingsvalg må tages på et biologisk grundlag med skyldigt hensyn til patientens alder og behov. På børn og unge vil adhæsiv behandling med direkte plast/glasionomercement og evt. stålkroner oftest være den bedste løsning, mens skal- /fuldkroner eller en kombination af plast og keramik hyppigst vil være at foretrække på voksne, når høj æstetik og længere holdbarhed er ønsket. I begge tilfælde vil behandling kunne udføres med en noninvasiv tilgang, hvilket altid må tilstræbes.
Treatment of an adult patient with Amelogenesis Imperfecta
Background– Patients with amelogenesis imperfecta (AI) usually have a lifelong need for treatment because insufficient mineralized enamel leads to fractures, wear, symptoms, caries, limited longevity of restorations, and insufficient aesthetics. It is therefore important that the choice of treatment is related to the patient’s age and needs, and that a non-invasive approach is used.
Case study – This article reviews the treatment of a 42-year-old woman with wear and aesthetic problems, who receives aesthetic treatment including bite lift using a combination of direct resin composite and ceramic restorations. The clinical procedures are described in detail along the way.
Conclusion – The combination of restorations in direct resin composite and ceramic materials performed during a relatively short period fulfilled the patient’s aesthetic need and protected teeth against further wear. An advantage of avoiding indirect restorations in all teeth was, that the treatment costs could be reduced. Finally, various treatment options for AI patients and for patients with a need for reconstruction of the bite are discussed.