Nekrotiserende bløddelsinfektioner i hoved-hals-regionen
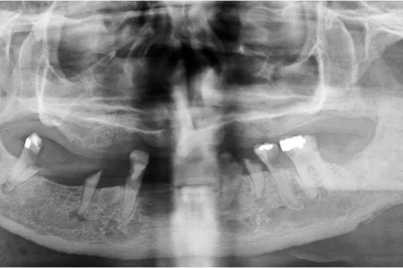
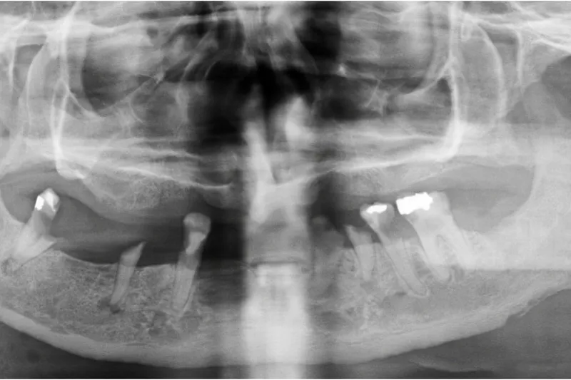
Data viser, at halvdelen af alle patienter med nekrotiserende bløddelsinfektion i hoved-hals-området udgår fra et odontogent fokus – størstedelen fra mandiblens molarregion. De resterende nekrotiserende hoved-hals-infektioner udgår fra tonsiller, svælg- og strubeinfektioner samt efter kirurgiske indgreb.

Nekrotiserende bløddelsinfektioner i hoved-halsområdet er en sjælden, aggressiv tilstand med høj dødelighed. Infektionen breder sig ud i alle blødtvævslag forårsagende iskæmi og nekroser. Tilstanden kræver hurtig diagnostik og akut kirurgisk sanering for at indskrænke infektionens udbredelse og undgå tab af væv og funktioner. Den nationale vejledning for visitation og behandling af disse patienter foreskriver, at patienterne overflyttes til regionshospitaler, hvor alle kirurgiske specialer er til rådighed. For overflytning til Region Hovedstaden anvendes der også adjuverende hyperbar iltbehandling forudgået af understøttende intensiv behandling, kirurgiske saneringer, bredspektret antibiotikum, og i udvalgte tilfælde behandling med immunglobulin. Data viser, at halvdelen af alle patienter med nekrotiserende bløddelsinfektion i hoved-hals-området udgår fra et odontogent fokus – størstedelen fra mandiblens molarregion. De resterende nekrotiserende hoved-hals-infektioner udgår fra tonsiller, svælg- og strubeinfektioner samt efter kirurgiske indgreb. Infektionen viser sig ofte ved bløddelshævelse på halsen og perimandibulært, der kan være misfarvninger af huden, og patienterne har stærke smerter sv.t. det afficerede område. Patienterne udvikler sepsis og nogle septisk shock. Årsagen til, at nogle patienter udvikler nekrotiserende infektion, er stadig ukendt.
Klinisk relevans:
Nekrotiserende bløddelsinfektioner kræver hurtig diagnostik, radikal gentagen kirurgisk sanering og bredspektret antibiotika.
• Halvdelen af de nekrotiserende bløddelsinfektioner i hoved-hals-området udgår fra et tandfokus – ofte efter et nyligt tandindgreb eller grundet dårlig tandstatus.
• Symptombilledet er præget af hurtig udvikling, stærke smerter fra det påvirkede område, ødem, hævelse og eventuelle misfarvninger af huden.
• Tilstanden er sjælden, men med høj dødelighed. Mistanke om hastigt udviklende infektion kræver derfor omgående visitering til hospital med alle kirurgiske specialer til rådighed.
Necrotising soft tissue infections in the head and neck region
Necrotising soft tissue infection in the head and neck area is a rare and aggressive condition associated with a high mortality rate. The infection spreads to all soft tissue layers causing ischemia and necrosis. The condition requires rapid diagnosis and urgent surgical removal of the infected tissue to limit further spread and to avoid loss of tissue and functions. The patients are transferred to central hospitals capable of providing surgical interventions from all surgical specialities. In one institution, adjuvant hyperbaric oxygen treatment is also given when preceded by urgent surgery and in combination with intensive care support, broadspectrum antibiotics and in selected cases immunoglobulin. Data shows that half of all patients with necrotising soft
tissue infection in the head and neck originate from an odontogenic focus – the majority from the mandibular molars. The remaining necrotising head and neck infections originate from infections in the tonsils, pharynx and larynx infections or occur after recent surgery. The infection often presents as a soft tissue swelling peri mandibularly and on the neck, there may be discoloration of the skin, and patients suffer from severe pain from the affected area. Patients are systemically affected with fever and sepsis and some evolve into septic shock. The reason why some patients develop necrotizing infection remains unknown.