Udviklingsdefekter på de permanente incisiver som følge af traume i det primære tandsæt
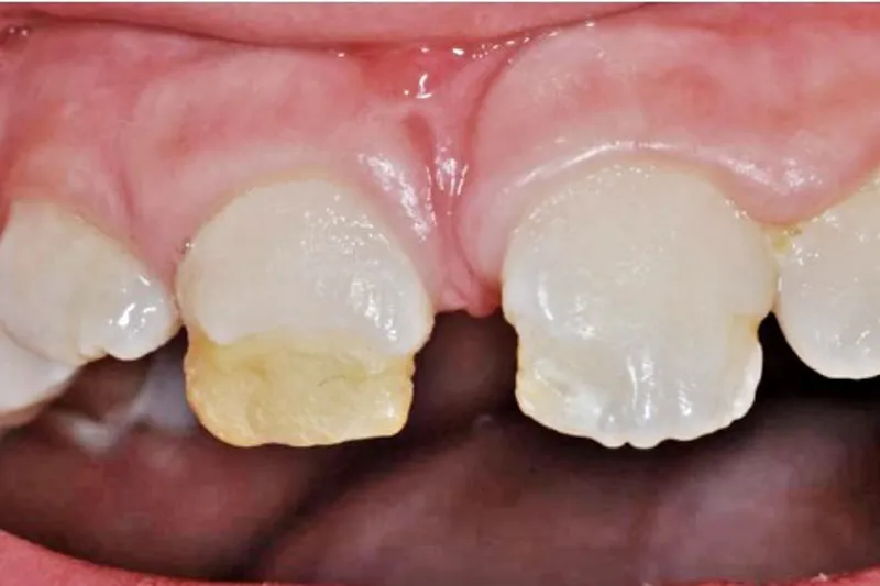
Velafgrænsede hvide eller gulbrune opaciteter i emaljen er de hyppigst forekommende defekter og ses hos ca. 20 % af alle børn, der har haft et traume i det primære tandsæt.

Traumer i det primære tandsæt forekommer hyppigt. Ca. hvert tredje barn oplever et traume i førskolealderen. Incidensen er størst i 2-3-årsalderen, hvor den permanente tandkrone endnu ikke er færdigmineraliseret. På grund af den tætte relation mellem roden på den primære tand og det permanente tandkim er der risiko for, at traumet på den primære tand påvirker udviklingen af den permanente tand. Risikoen for disse udviklingsdefekter afhænger af den permanente tands udviklingsstadie samt traumets omfang og retning. Velafgrænsede hvide eller gulbrune opaciteter er den hyppigst forekommende type af defekt og ses hos ca. 20 % af alle børn, der har haft et traume i det primære tandsæt. Alvorlige malformationer såsom kronedilaceration, afvigelser i roddannelsen og odontomdannelse er sjældne (< 6 %) og ses oftest som følge af intrusion, avulsion (eksartikulation) eller fraktur af processus alveolaris hos børn i 0-3-årsalderen. Incisiver med alvorlige malformationer har ofte behandlingskrævende eruptionsafvigelser, og da behandling af tandens krone ligeledes kan være påkrævet kort efter eruption, bør disse patienter følges nøje i forbindelse med det forventede eruptionstidspunkt. Det er vigtigt så vidt muligt at bevare malformerede tænder af hensyn til udvikling og bevarelse af processus alveolaris.
Klinisk relevans:
Traumer i det primære tandsæt forekommer hyppigt. Heldigvis medfører disse traumer kun sjældent alvorlig malformation af de permanente tænder. Det er dog vigtigt, at tandlæger, der behandler børn, kan identificere de patienter, der har høj risiko for udviklingsdefekter, således at de kan tilbyde patienten det mest hensigtsmæssige kontrol- og behandlingsforløb.
Sequelae after trauma in the primary dentition
Trauma in the primary dentition occurs very frequently. Approximately one third of all children will experience a traumatic dental injury in the primary dentition. The incidence is highest among 2-3- year-olds where the crown of the permanent incisor is not yet fully formed. Because of the close relation between the root of the primary tooth and the permanent tooth bud, there is a high risk of damage to the permanent incisor. The risk of developmental defects will depend on the stage of tooth development of the permanent incisor, the severity of the injury and the direction of the impact. The most frequent sequelae are demarcated enamel opacities. Serious malformations such as crown dilacerations, root dilacerations or odontomas are rare (< 6%). Malformations are usually seen because of traumatic injuries in children less than 3 years of age and usually after intrusion, avulsion or fracture of the alveolar process. Eruption disturbances of malformed incisors are frequent and surgical exposure and/or orthodontic realignment may be required. Furthermore, teeth with malformation of the crown may require restorative treatment soon after eruption. It is therefore recommended to monitor these patients closely around the expected time of eruption. It is important to preserve these teeth if possible, in order to ensure normal development of the alveolar ridge.