Dysplasi af emalje eller dentin ved medfødt, arvelig sygdom
Oversigtsartiklen beskriver udvalgte eksempler på sjældne, medfødte sygdomme, hvor der optræder dysplasi af dentale væv.

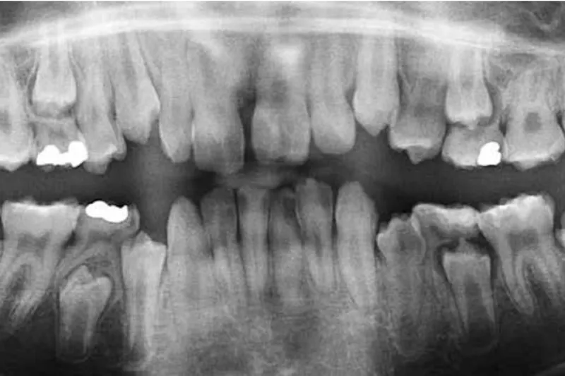
Dysplasi af dentale væv kan optræde som delsymptom ved sjældne medfødte sygdomme. Oversigtsartiklen beskriver udvalgte eksempler på sjældne, medfødte sygdomme, hvor der optræder dysplasi af dentale væv. Emaljedysplasi optræder ved hudsygdommene epidermolysis bullosa (EB) og fokal dermal hypoplasi (FDH). EB, junctional type, har hypomineraliseret og hypoplastisk emalje. FDH har hypoplastisk emalje med uregelmæssig overflade og atypisk kronemorfologi. Begge tilstande medfører store pædodontiske og protetiske behandlingsbehov. Dentindysplasi optræder ved skeletsygdommene osteogenesis imperfecta (OI), der skyldes en kollagen defekt, og X-bunden hypofosfatæmi (XLH), der er en metabolisk knoglesygdom. Dentindysplasi ved OI benævnes dentinogenesis imperfecta (DI) og ses ved svær OI. DI medfører øget risiko for tandfrakturer og tandtab. Ved XLH optræder uregelmæssigheder i hele pulpa-dentin-organet, og der er risiko for spontan udvikling af pulpanekrose. Ved XLH kan også ses elementer af emaljedysplasi (enamel cracks). Cementdysplasi ses ved skeletsygdommen hypofosfatasi (HPP), der optræder i flere alvorlighedsgrader. I varierende grad er tandrodens cementlag acellulær. Der ses præmatur eksfoliering af primære tænder eller ikkeparodontitis-betinget tandtab hos voksne. Svær HPP kan også være associeret med emaljedysplasi.
Konklusion – Emalje- eller dentindysplasi kan optræde ved sjældne sygdomme og medføre ekstraordinære tandbehandlingsbehov. Dette tilsiger henvisning til de odontologiske videncentre med henblik på faglig sparring om diagnostik og behandling.
Klinisk relevans:
Som kliniker er det vigtigt at være opmærksom på, at visse sjældne sygdomme kan medføre dentale abnormiteter. Disse kan optræde som dysplasi af emalje, dentin eller cement, og de kan medføre behov for ekstraordinære, eventuelt specialiserede, behandlinger hos tandlægen. Såvel sjældne hudsygdomme som sjældne skeletsygdomme kan betinge dentale abnormiteter. Gennem kontakt til de odontologiske videncentre kan tandlægen opnå råd om behandling af disse patienter. Herigennem kan det bl.a. afklares, om det for patienten er relevant at ansøge om særligt tilskud til tandbehandling i privat praksis, eller om patienten bør henvises til et specialiseret behandlingstilbud i videncenterregi.
Dysplasia of enamel or dentine in congenial hereditary disease
Dysplasia of dental tissue may appear as a symptom in rare congenital diseases. The present article describes selected examples of rare, congenital diseases in which dysplasia of dental tissues may occur. Dysplasia of enamel occurs in certain diseases of the skin: epidermolysis bullosa (EB) and focal dermal hypoplasia (FDH). EB, Junctional type, has hypomineralised and hypoplastic enamel. FDH has hypoplastic enamel with an irregular surface and an atypical crown morphology. Both conditions entail major pedodontic and prosthodontic treatment needs. Dysplasia of dentine occurs in certain diseases of the skeleton: osteogenesis imperfecta (OI), which is caused by a collagen defect, and X-linked hypophosphatemia (XLH), which is a metabolic bone disease. In OI, the dental symptom is dentinogenesis imperfecta (DI), which mainly occurs in severe OI. DI leads to an increased risk of tooth fractures and tooth loss. In XLH, irregularities occur in the entire pulp-dentineorgan, and the patients experience a risk of spontaneously evolving necrosis of the pulp. In XLH, elements of enamel dysplasia (enamel cracks) may also be present. Dysplasia of the cementum occurs in another disease of the skeleton: hypophosphatasia (HPP). According to degree of severity, HPP is divided into 6 subtypes. To varying degrees, the cemental layer of the root is acellular. Premature exfoliation of primary teeth may occur. In adults, tooth loss not related to periodontitis may occur. Severe HPP may also be associated with enamel dysplasia.
Conclusion – Enamel or dentine dysplasia can occur in rare diseases and lead to extraordinary dental treatment needs. This requires referral to the dental knowledge centres for professional advice on diagnostics and treatment.