Den normale mundslimhinde
I denne korte oversigtsartikel gennemgås mundslimhindens normale opbygning og funktioner.

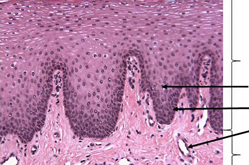
Mundslimhinden fungerer som en barriere, der beskytter mod mekaniske, kemiske og termiske påvirkninger, fx ved fødeindtagelse. Den udøver også centrale sensoriske funktioner. Mundslimhindens fysiske og immunologiske barrierefunktioner, der udgør en effektiv barriere mod indtrængende mikroorganismer, er afgørende for den mukosale immunitet, opretholdelse af en balanceret mikrobiota og en intakt mundslimhinde. Mundslimhinden er opbygget af et flerlaget pladeepitel og et underliggende bindevæv. I mundhulen ses regionale variationer i mundslimhindens udseende og beskaffenhed, som primært er relateret til overfladeepitelets keratiniseringsgrad og -type, der også afspejler slimhindens forskellige funktioner. Beklædende, ikkekeratiniseret slimhinde findes i områder, hvor der er behov for bevægelighed og fleksibilitet i forbindelse med fødebearbejdning og tale (fx kinder, mundbund og alveolær slimhinde), mens mastikatorisk, keratiniseret slimhinde er i områder, hvor slimhinden er meget udsat for mekanisk og termisk påvirkning (tungeryggen, gingiva og den hårde gane). Tungeslimhinden hører til den specialiserede slimhinde pga. papiller med smagsløg og filiforme papiller. Det er vigtigt at have kendskab til den normale mundslimhindes struktur og funktioner for at kunne forstå mundslimhindens forskellige reaktionsmønstre og dermed være i stand til at stille en relevant diagnose ved erkendelse af kliniske mundslimhindeforandringer. I denne korte oversigtsartikel gennemgås således mundslimhindens normale opbygning og funktioner.
Klinisk relevans:
Viden om den normale mundslimhindes struktur og funktion er vigtig for at forstå mundslimhindens forskellige reaktionsmønstre og dermed stille en relevant diagnose ved observation af kliniske mundslimhindeforandringer.The normal oral mucosa
The oral mucosa functions as a barrier that protects the underlying tissue against mechanical, chemical and thermal damage, e.g., during food intake. It also exerts essential sensory functions. The physical and immunological barrier functions, which provide an effective barrier against invading microorganisms, are crucial for mucosal immunity, maintenance of a balanced microbiota and an intact oral mucosa. The oral mucosa comprises a multilayered squamous epithelium and an underlying connective tissue. The stratified squamous epithelium of the oral mucosa is characterised by regional variations mainly related to differences in the degree and type of keratinisation of the epithelium, reflecting the various functions of the oral mucosa. The oral mucosa is classified into lining, masticatory and specialised types of oral mucosa reflecting its functions in different regions of the oral cavity. Lining, non-keratinised mucosa is found in areas where there is a need for movement and flexibility, for example in relation to food processing and speech (e.g. cheeks, floor of the mouth and alveolar mucosa), while masticatory, keratinised mucosa is found in areas highly exposed to mechanical and thermal impact (dorsal part of the tongue, gingiva and hard palate). The tongue mucosa belongs to the specialized mucosa due to papillae comprising taste buds and filiform papillae. It is important to have insight in the structure and functions of the normal oral mucosa in order to understand the different reaction patterns of the oral mucosa, and thus be able to make a relevant diagnosis when recognizing clinical changes in the oral mucosa. In this short overview, the normal structure of the oral mucosa is reviewed, including the regional variations, and the functions of the oral mucosa.