Medicinrelateret osteonekrose i kæberne efter adjuverende eller højdosis antiresorptiv behandling
Behandlingen af MRONJ skal tage udgangspunkt i individuelle overvejelser, og sammenhængen mellem kirurgi, livskvalitet og levetid bør undersøges nærmer. Sådan lyder konklusionen i denne originalartikel.

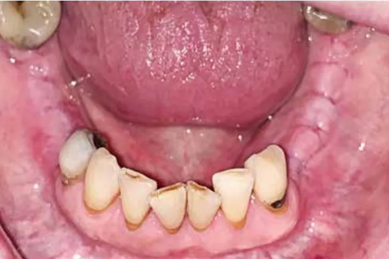
INTRODUKTION OG FORMÅL – Medicinrelateret osteonekrose i kæberne (MRONJ) er en bivirkning til antiresorptiv behandling (AR). Copenhagen ONJ Cohort har siden 2005 systematisk registreret patienter med MRONJ henvist til Afdeling for Kæbekirurgi, Rigshospitalet. Formålet med studiet er at præsentere demografiske data og kæbekirurgisk behandling af patienter med MRONJ i højdosis AR (HDAR) eller adjuverende AR (ADAR) i perioden 2005-2021.
MATERIALE OG METODE – Studiet er et retrospektivt kohortestudie baseret på longitudinelle registeroplysninger.
RESULTATER – Samlet indgår 356 patienter med MRONJ i studiepopulationen, 327 i HDAR og 29 i ADAR. Patienterne er overvejende i AR i relation til myelomatose, bryst- eller prostatakræft. Kvinder udgør 62 % fordelt på 60 % i HDAR og 86 % i ADAR. Gennemsnitsalderen ved indledende besøg er 68,7 år for patienter i HDAR og 71,0 for patienter i ADAR. I henholdsvis 58 % (HDAR) og 62 % (ADAR) af tilfældene er osteonekrosen lokaliseret i mandiblen. Blokresektion og sekvestrektomi er de hyppigst anvendte metoder i behandlingen. Den gennemsnitlige levetid efter indledende besøg i afdelingen er 15,7 måneder længere for kirurgisk behandlede patienter sammenlignet med konservativt behandlede.
KONKLUSION – Epidemiologien og ætiologien bag MRONJ er kompleks. Behandlingen af MRONJ skal tage udgangspunkt i individuelle overvejelser, og sammenhængen mellem kirurgi, livskvalitet og levetid bør undersøges nærmere.
Klinisk relevans:
Osteonekrose i kæberne er en alvorlig bivirkning til antiresorptiv behandling, og kendskab til patientgruppen med henblik på tidlig opsporing og behandling er afgørende. I takt med at behandlingsmulighederne forbedres, udvikler stadig flere patienter MRONJ. Behandling med kemoterapi, steroider og methotrexat samt nyere medikamenter som monoclonale antibodies og proteinkinasehæmmere ser alle ud til at kunne påvirke udviklingen af MRONJ. Når den medicinske patient møder i klinikken, er det derfor særlig vigtigt at have opmærksomhed på områder med spontant opstået blottet knogle, uforklarlige smerter, sensibilitetspåvirkning og løsning af tænder. Ligeledes er det vigtigt at behandle infektionstilstande og henvise for fjernelse af ikkebevaringsværdige tænder.Medication-related osteonecrosis due to adjuvant or high dose antiresorptive treatment
Introduction and aim – Medication-related osteonecrosis of the jaws (MRONJ) is a side effect related to antiresorptive treatment (AR). Since 2005, the Copenhagen ONJ Cohort has systematically registered information on patients with MRONJ referred to the Department of Oral and Maxillofacial Surgery, Rigshospitalet, Copenhagen. Aim: To present demographic data and maxillofacial treatment of patients with MRONJ in adjuvant AR (ADAR) or high-dose AR (HDAR).
Material and method – Retrospective cohort study based on longitudinal register information.
Results – In total 356 patients with MRONJ (327 HDAR, 29 ADAR) were included, predominantly treated due to multiple myeloma, breast- or prostate cancer. Women represent 62% (60% HDAR, 86% ADAR). The average age at the initial visit is 68.7 (HDAR) and 71.0 years (ADAR). In 58% (HDAR) and 61% (ADAR) of the cases, the osteonecrosis is localized in the mandible. Partial alveolar resection and sequestrectomy are the most frequently used methods of treatment. The average life expectancy from the initial visit is 15.7 months longer for surgically compared to conservative treated patients.
Conclusion – The epidemiology and aetiology are complex. The treatment of MRONJ must be based on individual considerations, and the association between surgery, quality of life and remaining life expectancy should be investigated in more details.