Intravaskulær papillær endotel hyperplasi – en sjælden forekommende vaskulær tumor
Differentialdiagnostiske overvejelser og kirurgiske forholdsregler er vigtige i forbindelse med diagnostik og behandling af vaskulære tumorer/malformationer i mundhulen.

Baggrund – Intravaskulær papillær endotel hyperplasi (IPEH) er en forholdsvis sjælden benign vaskulær tumor karakteriseret ved øget proliferation af endotelceller i blodkarrene. Tumoren optræder almindeligvis på ekstremiteterne og ses sjældent i mundhulen. Tumoren kan forekomme i alle aldre, men ses hyppigst hos midaldrende kvinder.
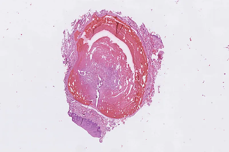
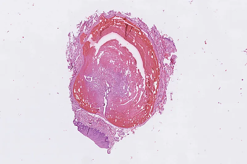
IPEH præsenterer sig som en fast, asymptomatisk og langsomtvoksende blålig læsion, som er forholdsvis velafgrænset og eleveret fra omliggende væv. Histologisk karakteriseres tumoren ved et dilateret blodkar indeholdende en reorganiseret og rekanaliseret trombe beklædt med prolifererende endotelceller. Intravaskulær papillær endotel hyperplasi behandles almindeligvis med kirurgisk excision, og recidivfrekvensen er lav.
Patienttilfælde – En 74-årig kvinde blev henvist til Kæbekirurgisk Afdeling, Aalborg Universitetshospital, for diagnostik og behandling af en asymptomatisk blålig hævelse i overlæben, som var generende ved tale og tygning. Den tentative diagnose var hæmangiom. Hævelsen blev excideret, og histologisk undersøgelse viste intravaskulær papillær endotel hyperplasi. Det postoperative forløb var komplikationsfrit, og patienten blev afsluttet til videre kontrol hos egen tandlæge.
Konklusion – Bioptering eller kirurgisk excision af vaskulære tumorer i mundhulen er forbundet med betydelig blødningsrisiko. Valg af relevant behandling afhænger således af patientens gener, differentialdiagnostiske overvejelser samt størrelse og lokalisation af tumoren.
Klinisk relevans:
Vaskulære tumorer i mundhulen differentieres almindeligvis på baggrund af anamnesen og den kliniske undersøgelse. I de patienttilfælde, hvor patienten er væsentligt generet af tumoren, eller den kliniske diagnose ønskes verificeret ved histologisk undersøgelse, kan der være behov for kirurgisk intervention. Imidlertid er bioptering eller kirurgisk fjernelse af vaskulære tumorer/malformationer forbundet med betydelig blødningsrisiko. Differentialdiagnostiske overvejelser og kirurgiske forholdsregler er således vigtige i forbindelse med diagnostik og behandling af vaskulære tumorer/malformationer i mundhulen.Intravascular papilly endothelial hyperplasia – a rare vascular tumour
Background – Intravascular papillary endothelial hyperplasia (IPEH) is a relatively rare benign vascular tumour characterized by increased proliferation of endothelial cells within the blood vessels. The tumour has a predilection for the extremities and rarely seen in the oral cavity. The tumor can occur at any age but is most frequently seen in middle-aged woman.
IPEH appears as a firm, asymptomatic and slow-growing bluish lesion, which is relatively well-defined and elevated from the adjacent tissue. The tumour is histologically characterized by a dilated vessel containing a reorganised and recanalised thrombus, covered with proliferating endothelial cells. Intravascular papillary endothelial hyperplasia is treated by surgical excision and the recurrence rate is low.
Case study – A 74-year-old woman was referred to the Department of Oral and Maxillofacial Surgery, Aalborg University Hospital, for diagnosis and treatment of an asymptomatic bluish swelling in the upper lip, which was irritating while talking and chewing. The tentative diagnosis was haemangioma. The swelling was surgically removed and histological examination revealed an intravascular papillary endothelial hyperplasia. Healing was uneventful and future control was conducted by the patient´s regular dentist.
Conclusion – Biopsy or surgical removal of vascular tumours in the oral cavity is associated with an increased risk of bleeding. The treatment strategy therefore relies on the patients’ symptoms, differential diagnosis considerations as well as size and locality of tumour.