Tandregulering med alignere
Denne oversigtsartikel er tænkt som en overordnet introduktion til den nuværende evidens omkring behandling med alignere, hvorefter den interesserede kliniker kan fordybe sig yderligere efterfølgende.

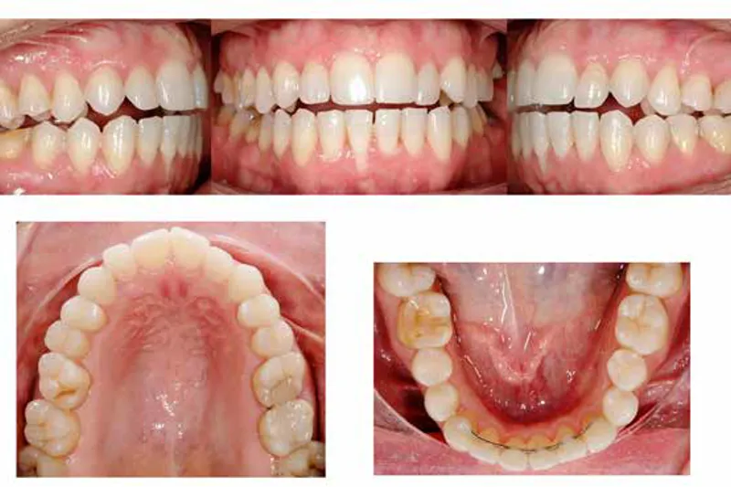
Tandregulering med gennemsigtige skinner har haft en eksponentiel vækst de sidste år. Skinnerne kaldes alignere og har revolutioneret især voksenortodontien de seneste 10-20 år. Tidligere var ortodonti et vanskeligt speciale at give sig i kast med uden officiel videreuddannelse i ortodonti, men med denne nye teknik på markedet er muligheden for praktiserende tandlæger blevet forøget. De fleste patienter kan lettere acceptere at blive behandlet med gennemsigtige plastikskinner end fast apparatur på tændernes forside. Øget tilgængelighed af teknikken og kraftige reklamefremstød kombineret med en øget efterspørgsel samt forskning og udvikling i feltet har gjort alignerne til en kommerciel succes, og markedet udvikler sig markant i disse år. Vi vil i denne artikel diskutere fordele og ulemper ved teknikken, belyse problemområder, informere om effektiviteten af alignere til specifikke tandflytninger samt illustrere effekten med to patienttilfælde. Artiklen er tænkt som en overordnet introduktion til den nuværende evidens omkring behandling med alignere, hvorefter den interesserede kliniker kan fordybe sig yderligere efterfølgende.
Klinisk relevans:
For at give vores patienter de bedst mulige resultater og oplevelse af behandling må behandlere med alignere kende til fordele og begrænsninger ved brugen af denne behandlingsmetode. Generel ortodontisk viden, forståelse af okklusion samt respekt for de biologiske grænser hos den enkelte patient og opstilling af behandlingsmål må være på plads inden indledning af behandling med alignere. Udvælgelsen af patienter er desuden yderst vigtig for at respektere læringskurven og blive fortrolig med teknikken. Simuleringer af behandlingsresultater inden opstart har flere problemer med præcision af flere bevægelsestyper, hvilket der må korrigeres for inden behandlingsstart i mere komplicerede patienttilfælde.Orthodontic treatment with aligners
Orthodontic treatment with transparent aligners has had an exponential growth the last years. The aligners have revolutionized especially the adult orthodontic treatment during the last 10-20 years. Previously, orthodontics was a difficult specialty to embark on without a formal postgraduate orthodontic training, but this new technique has made orthodontic treatments available to general dentists. Patients have a lower threshold for accepting treatment using transparent aligners compared to buccal brackets. Increased availability of the technique and wide-spread commercialization combined with increased research and development have made the aligners a commercial success, and the market is developing significantly now. We aim in this article to discuss the pros and cons of the technique, address problem-areas, inform readers about the effectiveness of aligners for specific dental movements and illustrate this with two cases examples. The article is meant as an overall introduction of the current scientific evidence of aligner-treatment, preparing the interested clinician for subsequent further investigation.