Tobaksprodukters indvirkning på den parodontale sundhed og udfaldet af parodontalbehandling
Denne oversigtsartikel samler vores aktuelle viden om de påvirkninger, cigaretrygning, e-cigaretter og snus har på parodontitis.

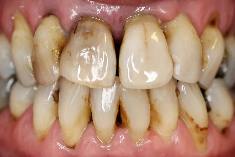
I de nordiske lande er der mellem 15 % og 24 % af befolkningen, der daglig indtager nikotin i form af cigaretter, e-cigaretter eller snus. Der er forbavsende lidt dokumentation for effekten af rygestop i forbindelse med parodontitis, men der er omfattende videnskabelig dokumentation for negative effekter af cigaretrygning på parodontal sundhed og på udfaldet af parodontalbehandling. Rygere har mere parodontitis, mere udtalt parodontalt fæstetab og dårligere respons på parodontalbehandling end ikkerygere. Årsagerne hertil skal søges i rygernes inflammatoriske respons og dets interaktion med en dysbiotisk biofilm i de parodontale pocher. Snus og e-cigaretter forårsager også ændringer i det parodontale miljø, men en eventuel negativ effekt af disse produkter på parodontitis er indtil videre ikke afklaret. Denne oversigtsartikel samler vores aktuelle viden om de påvirkninger, cigaretrygning, e-cigaretter og snus har på parodontitis. Vi fremlægger de biologiske forbindelser mellem cigaretrygning og parodontitis og den effekt, rygning har på udfaldet af parodontalbehandling. Endelig diskuteres mulige påvirkninger af snus og e-cigaretter på de parodontale væv.
Klinisk relevans:
En forståelse af patogenesen for parodontitis hos nikotinmisbrugere er en forudsætning for optimal behandling af patienter med parodontitis. Alle patienter i tandlægestolen bør i forbindelse med kliniske undersøgelser udspørges om deres tobaksvaner. Brugere af cigaretter, e-cigaretter og snus bør tilbydes et forebyggende program med mulighed for rygestopkurser og regelmæssig odontologisk undersøgelse med særligt fokus på undersøgelse af parodontiet og mundslimhinder. Cigaretrygere skal oplyses om, at de har forøget risiko for parodontitis, og at resultaterne efter parodontalbehandling kan være suboptimale. Det er ekstra vigtigt, at rygere følger et struktureret støttebehandlingsprogram, og rygestop bør være en integreret del af parodontalbehandling.Influence of tobacco products on periodontal health and outcome of periodontal therapy
Between 15-24% of Nordic population are daily users of nicotine in form of cigarettes, e-cigarettes, or snuff. Despite surprisingly limited documentation on the effect of smoking cessation on periodontitis, extensive research has documented negative effects of cigarette smoking on periodontal health and outcomes of periodontal therapy. Smokers have more periodontitis, more severe periodontal attachment loss and impaired outcomes of periodontal therapy than non-smokers. The key underlying mechanism in smokers is the host inflammatory response and its interaction with a dysbiotic biofilm in the periodontal pockets, leading to more severe attachment loss. Snuff and e-cigarettes also induce periodontal environmental alterations, however, a negative effect on periodontitis is not well documented. This review presents the current understanding of the influence of cigarette smoking, e-cigarette vaping and snus on periodontitis. The biological links between cigarette smoking and periodontitis, and the extent to which smoking affects periodontal therapy are presented. In addition, associative mechanisms from snus and e-cigarettes on periodontal tissues are discussed.