Den nye klassifikation af parodontitis. Hvordan klassifikationen anvendes i daglig klinisk praksis
Vi beskriver her, hvordan den nye parodontitisklassifikation kan anvendes i daglig klinisk praksis, og hvordan implementering af den nye klassifikation kan gavne patienter og klinikere og give et bud på, hvor stort problemet er, dvs. prævalensen af fremskreden parodontitis. Artiklen illustrerer endvidere de nye begreber, stadier og grader ved hjælp af repræsentative patienttilfælde.

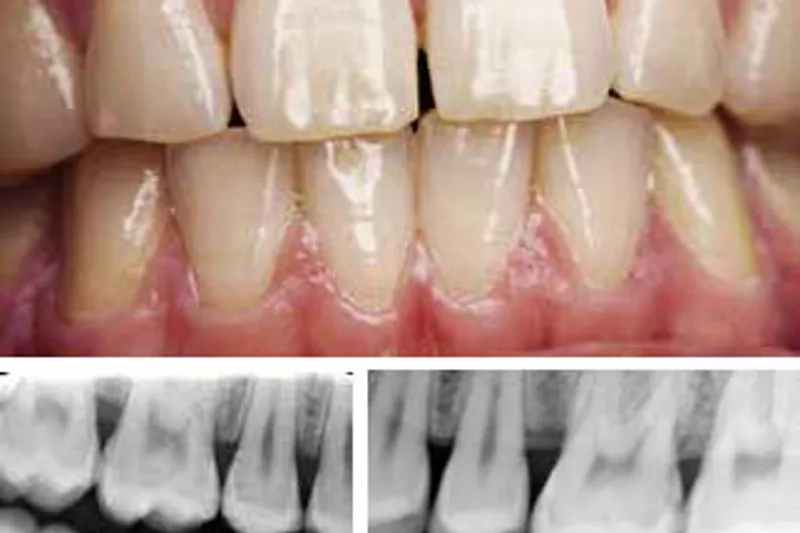
Klassifikationen af parodontale sygdomme er blevet reorganiseret efter et omfattende arbejde i ekspertgrupper efterfulgt af en international workshop arrangeret af American Academy of Periodontology og European Federation of Periodontology i 2017. På workshoppen enedes et internationalt ekspertpanel med repræsentanter fra lande over hele verden om definitionerne, som ud over en beskrivelse af parodontitis også indeholdt beskrivelser af det intakte parodontium, parodontal sundhed, biofilminduceret gingivitis og ikke-biofilminduceret gingival sygdom. Denne artikel fokuserer på parodontitis. Parodontitis er en tilstand med klinisk fæstetab (clinical attachment loss, CAL) på mindst 1 mm interdentalt på mindst to tænder, som ikke er nabotænder, eller CAL på mindst 3 mm facialt/lingvalt på mindst to tænder. Parodontitis inddeles yderligere i fire stadier (I-IV) efter sygdommens alvorlighed og i tre grader (A, B, C) efter progressionshastighed og risikofaktorer. Endvidere skal sygdommens udbredelse og fordeling i tandsættet angives. Vi beskriver her, hvordan den nye parodontitisklassifikation kan anvendes i daglig klinisk praksis, og hvordan implementering af den nye klassifikation kan gavne patienter og klinikere og give et bud på, hvor stort problemet er, dvs. prævalensen af fremskreden parodontitis. Artiklen illustrerer endvidere de nye begreber, stadier og grader ved hjælp af repræsentative patienttilfælde.
Klinisk relevans:
Evidensbaserede kliniske retningslinjer har til formål at vejlede klinikere i forbindelse med valg af relevante forebyggende eller terapeutiske tiltag. Både EFP og flere nordiske lande har udgivet retningslinjer for behandling af parodontitis stadium I-III. Alle retningslinjerne understreger vigtigheden af patienternes motivation og kontrol med risikofaktorer, især rygning, hvis den parodontale status skal forbedres. Subgingival instrumentering er et centralt led i parodontalbehandling, når det drejer sig om at reducere pochedybde og gingival inflammation samt opnå lukning af pocher. Der er begrænset evidens for nytten af supplerende metoder. Supplerende systemisk antibiotikumbehandling bør kun overvejes i helt særlige tilfælde.The new classification on periodontitis how to apply the classification in daily clinical work
The classification of periodontal diseases has been re-organised after extensive work in expert groups followed by an international workshop arranged by the American Academy Periodontology and the European Federation of Periodontology in 2017. The international expert panel at the workshop representing countries from around the world has agreed on the definitions, which in addition to a description of periodontitis include descriptions on the intact periodontium, periodontal health, biofilm-induced gingivitis, and non-biofilm-induced gingival disease. The present article focuses on periodontitis. Periodontitis is a condition with interdental clinical attachment loss (CAL) of at least 1 mm on at least two non-neighbouring teeth or a buccal/lingual CAL of at least 3 mm on at least two teeth. According to severity periodontitis is further subdivided in four stages (I – IV), and three grades (A, B, C) according to rate of progression and risk factors. Furthermore, the extent and distribution of the disease must be stated. Here we describe how the new classification on periodontitis applies to every-day clinical practice, how can patients and the clinical profession benefit from implementation of the new classification, and what is the magnitude of the problem, i.e. the prevalence of severe periodontitis? The article also presents representative cases to illustrate the new concept of staging and grading.