Kalcificerende fibroblastisk granulom med recidiv
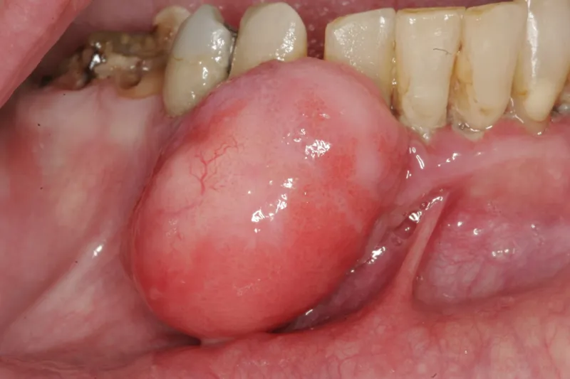
I denne artikel præsenteres en 69-årig kvinde med en eksofytisk gingival forandring i underkæbens front. Forandringen excideredes, og histologisk undersøgelse viste kalcificerende fibroblastisk granulom.

BAGGRUND – Kalcificerende fibroblastisk granulom er en hyperplasi med oprindelse i gingivalt bindevæv eller parodontalligament. Ætiologiske faktorer menes at være irritament eller traume, som forårsager en reaktiv hyperplasi. Kalcificerende fibroblastisk granulom har en tendens til recidiv, og med udgangspunkt i et patienttilfælde diskuteres mulige årsager hertil.
PATIENTTILFÆLDE – I denne artikel præsenteres en 69-årig kvinde med en eksofytisk gingival forandring i underkæbens front. Forandringen excideredes, og histologisk undersøgelse viste kalcificerende fibroblastisk granulom. Læsionen recidiverede flere gange, indtil en radikal tilgang blev anlagt, og tilstødende tænder blev ekstraheret.
KONKLUSION – Kalcificerende fibroblastisk granulom er en gingival hyperplasi med en relativ høj recidivfrekvens. Behandlingen omfatter excision af forandringen og eliminering af mulige irritamenter. Parodontalligamentet skal fjernes, hvis det er involveret. I meget sjældne tilfælde kan ekstraktion af tænder være nødvendig.
Klinisk relevans:
Kalcificerende fibroblastisk granulom er en relativt hyppigt forekommende gingival hyperplasi med stort vækstpotentiale og en relativt høj recidivfrekvens. Forandringen er oftest uden symptomer, men kan give gener, når den tiltager i størrelse. Det kliniske udseende og den undertiden hurtige vækst kan foranledige patienten til at mistænke en ondartet tilstand. Det er vigtigt, at der stilles en histologisk diagnose. Overvejelserne ved excision bør gå på at eliminere mulige irritamenter og fjerne afficeret væv for at undgå recidiv. Nærværende artikel beskriver et sjældent tilfælde, hvor en radikal tilgang med ekstraktion af tænder var en forudsætning for en succesfuld behandling.