Ortodontisk induceret inflammatorisk rodresorption
Formålet med denne artikel er at belyse patogenese, prævalens og ætiologi for ortodontisk induceret inflammatorisk rodresorption (OIIRR). Artiklen er baseret på en litteraturgennemgang af tidligere publikationer vedrørende rodresorptioner efter ortodontisk behandling.

Ca. en tredjedel af alle børn og unge i Skandinavien får ortodontisk behandling, som finansieres af det offentlige (landsting/kommuner). Hertil kommer ganske mange børn og voksne, som gennemgår en ortodontisk behandling og selv betaler. En af bivirkningerne ved ortodontisk behandling er forekomst af rodresorptioner.
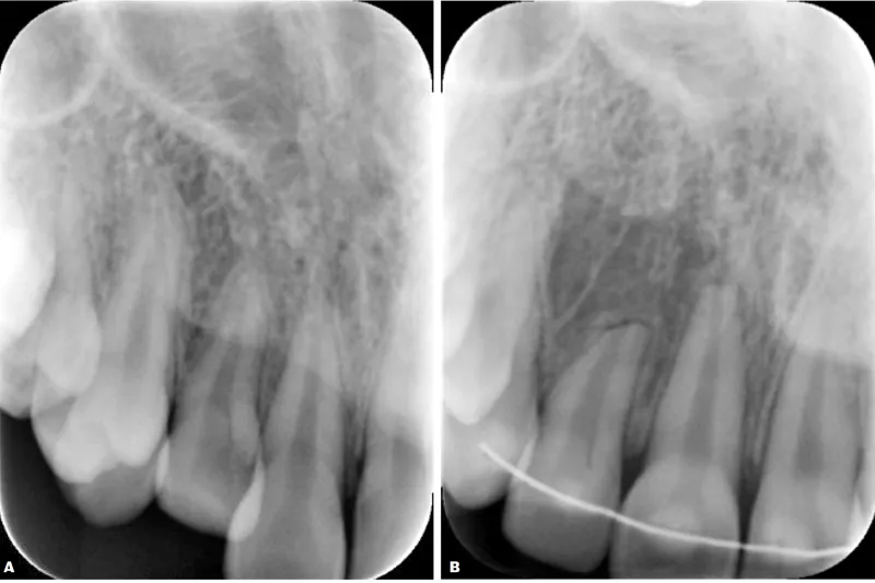
Formålet med denne artikel er at belyse patogenese, prævalens og ætiologi for ortodontisk induceret inflammatorisk rodresorption (OIIRR). Artiklen er baseret på en litteraturgennemgang af tidligere publikationer vedrørende rodresorptioner efter ortodontisk behandling. OIIRR er en bivirkning til de vævsreaktioner, der resorberer en iskæmisk zone, som dannes omkring tandens rod (“hyaliniseret zone”) efter påvirkning med ortodontiske kræfter. Overkæbeincisiverne er den tandgruppe, der har størst risiko for at udvikle OIIRR. Forekomsten af små OIIRR uden klinisk betydning er 32-96 %. Forekomsten af alvorlig OIIRR er 1-5 %. Ætiologien for OIIRR er kompleks og multifaktoriel, og der findes mange prædisponerende faktorer såsom individuel modtagelighed og faktorer, som er relateret til den ortodontiske behandling.
Ved ortodontisk behandling er det derfor vigtigt at være opmærksom på patientens anamnestiske og diagnostiske oplysninger og at have forståelse for, hvordan den ortodontiske behandlingsprocedure kan optimeres for at reducere risikoen for alvorlige rodresorptioner.
Klinisk relevans:
Vi lever i en tid og en del af verden, hvor en relativt stor andel af befolkningen får foretaget ortodontisk behandling. Fordelene ved ortodontisk behandling er forbedring af okklusionen og tyggefunktionen samt patientens selvværd, medens ulemperne kan være forøget risiko for caries samt udvikling af rodresorptioner. Ætiologien for rodresorption i forbindelse med ortodontisk behandling er kompleks og multifaktoriel. Det er derfor vigtigt at være opmærksom på anamnestiske og diagnostiske oplysninger samt have forståelse for, hvordan den ortodontiske behandlingsprocedure kan optimeres for at reducere risikoen for alvorlige rodresorptioner.
Orthodontic induced inflammatory root resorption
About one third of children and young adults in Scandinavia receive orthodontic treatment fully financed by the counties/ municipal health services. In addition, many children and adults receive self-financed orthodontic treatment. A side effect of orthodontic treatment is the occurrence of root resorptions. The aim of this article is to describe pathogenesis, prevalence and aetiology of orthodontically induced inflammatory root resorption (OIIRR).
This article is based on a literature review of studies regarding root resorption after orthodontic treatment. OIIRR is a side effect of tissue response in order to resorb an ischemic zone formed around the root of the tooth (“hyalinized zone”), initiated by orthodontic forces. Upper incisors have the highest risk of developing OIIRR. The presence of minor, clinically irrelevant, OIIRR is 32-96%. The occurrence of severe OIIRR is 1-5%. The aetiology is complex and multifactorial and there are many predisposing factors for OIIRR such as individual susceptibility and factors induced by orthodontic treatment. During orthodontic treatment, it is therefore important to pay attention to the anamnesis and diagnostics of the patient, as well as understanding how the orthodontic treatment procedure should be optimized in order to reduce the risk of severe root resorptions.