Retinerede maksillære permanente hjørnetænder – interceptiv og kirurgisk behandling
Artiklen gennemgår de forskellige kirurgiske teknikker, og der beskrives komplikationer til den kirurgiske samt ortodontiske behandling som fx resorptioner, fæstetab og postoperative smerter.

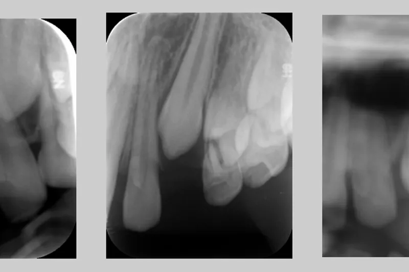
Når en retineret eller ektopisk lejret hjørnetand er diagnosticeret, skal den videre behandlingsplan bestemmes. Opdages den retinerede eller ektopiske hjørnetand tidligt, kan interceptiv behandling foretages, fx i form af ekstraktion af den primære hjørnetand eller udvidelse af tandbuen. Opdages den ektopiske eller retinerede hjørnetand først senere, er det korrektiv behandling, der skal til, oftest i form af kirurgi samt ortodonti.
En gennemgang af litteraturen beskriver overordnet tre kirurgiske metoder til blotlæggelse af den retinerede hjørnetand: den åbne, den lukkede og den apikalt forskudte lapteknik. Der er ikke enighed om, hvornår den ene teknik bør benyttes frem for den anden, men det angives dog generelt, at det overliggende blødtvæv samt placering af den retinerede hjørnetand er afgørende for valget af teknik. Artiklen gennemgår de forskellige kirurgiske teknikker, og der beskrives komplikationer til den kirurgiske samt ortodontiske behandling som fx resorptioner, fæstetab og postoperative smerter.
Klinisk relevans:
Med undtagelse af tredje molar er permanente hjørnetænder i overkæben de hyppigst forekommende retinerede tænder. De udgør derfor en stor del af de kirurgiske behandlinger, som foretages i børne- og ungdomstandplejen. Valget af kirurgisk teknik foretages bedst i et tæt samarbejde med en specialtandlæge i ortodonti. Det bør bestræbes at få den ektopiske tand til at eruptere gennem keratiniseret slimhinde. I tilfælde, hvor der skal placeres en kæde, er det vigtigt, at der er enighed mellem specialtandlægerne om, hvor på tanden kæden skal placeres, samt hvor den skal føres ud gennem slimhinden, så en uhensigtsmæssig trækretning undgås.
Impacted maxillary permanent canine – interceptive and surgical treatment
There are different views on treatment options for impacted maxillary canines. This article provides an overview of the benefits and draw-backs related to the different treatments. Interceptive treatment may be initiated when an impacted or ectopically positioned permanent canine is diagnosed at an early stage. If the impacted or ectopically positioned canine is diagnosed later, the patient often needs surgical and orthodontic treatment.
A review of the literature generally describes three surgical methods for exposing the impacted canine: the open, the closed and the apically displaced flap technique. There is no consensus as to when one technique should be used in favour of the other, but it is generally stated that the overlying soft tissue and placement of the impacted canine is crucial for the choice of technique. The article reviews the different surgical techniques and describes complications for surgical and orthodontic treatment, such as resorptions, bone loss, and post-operative pain.