Retinerede maksillære permanente hjørnetænder – ætiologi og diagnostik
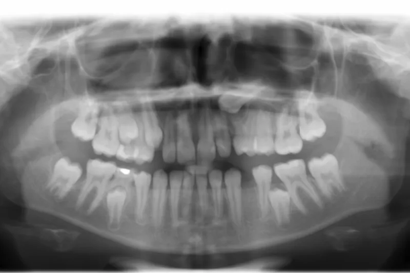
Den kliniske undersøgelse gennemgås, samt hvilke risikofaktorer man skal være særligt opmærksom på. Er der tvivl om hjørnetændernes beliggenhed, bør undersøgelsen suppleres med røntgenoptagelser.

Retinerede og ektopisk lejrede hjørnetænder ses ofte hos børn og unge, og diagnosticeringen af disse bør udgøre en vigtig del af de obligatoriske undersøgelser i børne- og ungetandplejen.
Denne oversigtsartikel redegør for forekomsten af retinerede og ektopisk lejrede hjørnetænder samt belyser de forskellige årsager, der kan føre hertil. I artiklen beskrives også forskellige komplikationer, der kan ses i forbindelse med retinerede og ektopiske hjørnetænder. En af de hyppigste komplikationer er resorption af rødderne på nabotænderne. Det er derfor vigtigt, at de ektopiske hjørnetænder diagnosticeres i tide, så risikoen for komplikationer kan mindskes ved rettidig behandling.
Den kliniske undersøgelse gennemgås, samt hvilke risikofaktorer man skal være særligt opmærksom på. Er der tvivl om hjørnetændernes beliggenhed, bør undersøgelsen suppleres med røntgenoptagelser.
Klinisk relevans:
Med undtagelse af tredje molar er permanente hjørnetænder i overkæben de hyppigst forekommende retinerede tænder. Denudering af disse udgør derfor en stor del af de kirurgiske behandlinger foretaget i børne- og ungdomstandplejen.Det er vigtigt, at de diagnosticeres tidligt, så komplikationer som fx rodresorption af nabotænder undgås. Det anbefales, at der allerede fra niårsalderen palperes efter retinerede hjørnetænder i overkæben, og er man i tvivl, bør man supplere den kliniske undersøgelse med røntgenoptagelser. Diagnosticeres retinerede eller ektopiske hjørnetænder tidligt, kan interceptiv behandling iværksættes, fx i form af ekstraktion af de primære hjørnetænder. Opdages de først senere, er der ofte behov for både kirurgisk og ortodontisk behandling.
Impacted maxillary permanent canines – aetiology and diagnostics
Impacted and ectopically placed canines are often seen with children and the diagnosis hereof should be an important part of the clinical examinations in pediatric dentistry.
This article looks into the prevalence of impacted and ectopically placed canines and describes the etiology. It also looks into different complications related to impacted and ectopically placed canines. A frequent complication is root resorption of adjacent teeth. For this reason, an early identification of ectopically positioned permanent canines is important, as timely treatment may reduce the complications significantly.
The article describes the clinical examination along with the risks that require special attention. In cases of doubt as to the location of the permanent canines, clinical examinations may be supplemented by radiographic recordings.