Det skal du vide om røntgen i forbindelse med implantatbehandling
Med denne guide får du et overblik over røntgenteknikker, som anvendes i forbindelse med implantatbehandling, deres fordele og ulemper, og hvilke overvejelser du bør gøre dig, når du skal bruge dem.

1. Generelle principper
Røntgenundersøgelser, som involverer ioniserende stråler, er forbundet med en potentiel risiko for vævsskader. Derfor skal man altid først tage stilling til, om røntgenoptagelser er berettigede, eller om man kan få tilstrækkelig information alene ved en klinisk undersøgelse.
Ved valg af røntgenmetode skal der altid tages hensyn til den stråledosis og de udgifter, der er forbundet med metoden og det diagnostiske udbytte. Der er særlige krav til anvendelse af CBCT-udstyr i Danmark, hvor denne teknik kræver særlig uddannelse og ekspertise.
Endelig skal røntgenundersøgelsen udføres korrekt, fx i forhold til projektion, og således at hele det relevante område er afbildet.
2. Implantatbehandling og røntgen
Røntgenundersøgelse kan komme på tale i flere faser af behandling med implantater.
Forud for indsættelse af implantater skal der foretages en planlægning, som bl.a. indebærer en vurdering af knoglens kvalitet, kæbeknoglens dimensioner og beliggenhed af relevante anatomiske strukturer.
Denne information skal bruges til planlægning af placering, dvs. sted og vinkling, og størrelse (længde og bredde) af implantatet, antal implantater, hvis der er tale om en større rehabilitering samt vurdering af behov for knogleopbygning, sinusløft eller andre supplerende behandlinger. Desuden skal der undersøges for patologiske tilstande i kæben, som eventuelt skal behandles forud.
Undervejs i behandlingen kan røntgenoptagelser anvendes for at verificere, at boret har den korrekte retning ved udboring til implantatet, og at de forskellige implantatkomponenter sidder korrekt.
Implantatet skal kontrolleres efter indsættelse, hvor røntgenoptagelser kan vise knogleforholdene og afsløre eventuel patologi ved implantatet.
3. Røntgenteknikker ved implantatplanlægning
Der anvendes typisk intraorale optagelser, panoramaoptagelser og CBCT. De to førstnævnte er todimensionale (2D) og har dermed begrænsninger ved vurdering af kæbeforholdene.
Dog vil de være tilstrækkelige, hvis man kan vurdere lokalisationen og afgrænsningen af anatomiske strukturer, som ligger nær implantatstedet, samt bredden af den alveolære knogle ud fra en klinisk undersøgelse. Intraorale billeder er desuden velegnede til en vurdering af knoglestrukturen pga. en høj billedopløsning.
Optagelserne skal foretages med parallelteknik. Panoramaoptagelser giver et større og bedre overblik over kæberne, som kan være nødvendigt i visse patienttilfælde. På grund af projektionsforstørrelse af strukturerne bør man altid anvende en eller flere kalibreringskugler for at sikre korrekt udmåling, når placering og implantatstørrelse skal vælges.
Det er specielt vigtigt ved panoramaoptagelser, hvor der er stor variation i forstørrelsen afhængigt af region (over-/underkæbe, anteriort/posteriort), fabrikat af apparatet og patientpositioneringen. Kalibreringskuglen skal placeres på selve implantatstedet, dog uden at genere muligheden for vurdering af knogleforholdene.
CBCT kan vise den alveolære knogle i tre dimensioner, hvorved bredden og hældningen samt eventuelle indkærvninger og udstrækningen af fx kæbehulen og placeringen af c. mandibulae i den facioorale retning kan vurderes. Der er i praksis ingen forstørrelse i CBCT-optagelser, og målinger foretaget ved hjælp af scanningssoftwarens måleværktøj kan regnes for pålidelige.
Det anbefales dog at indregne en sikkerhedsmargin på et par millimeter, da der vil være en vis usikkerhed ved identificering af strukturernes afgrænsning. CBCT er indiceret, hvis 2D-optagelser sammen med den kliniske undersøgelse ikke vurderes tilstrækkelig for planlægningen. Desuden er CBCT nyttig ved større atrofi af kæbeknoglen, hvor der vurderes at være behov for knogleopbygning, og i forbindelse med computerguidet kirurgi.
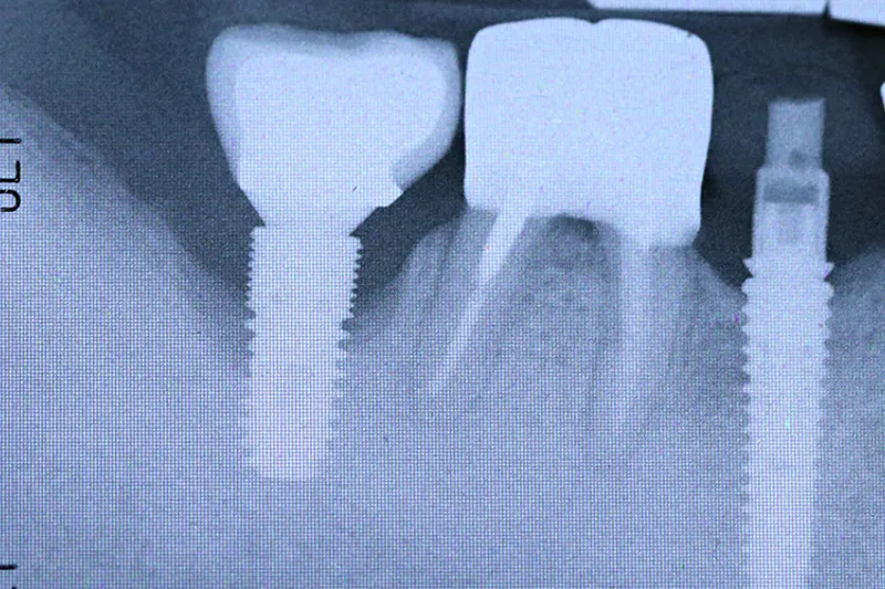
4. Røntgenteknikker ved implantatopfølgning
Typisk tager man et intraoralt billede af implantatet umiddelbart eller kort tid efter indsættelse og igen efter et år. Herefter kontrollerer man ikke rutinemæssigt, men det anbefales at tage et røntgenbillede, hvis der er symptomer, som ikke kan forklares eller undersøges tilstrækkeligt klinisk.
Ved kontrol af flere implantater kan et panoramabillede give et overblik over forholdene, men man bør følge op med et intraoralt billede af de enkelte implantater, hvis der er den mindste mistanke om patologiske forhold.
Intraorale optagelser skal tages med parallelteknik, og implantatets gevind skal stå skarpt for at kunne vurdere det marginale knogleniveau samt tilpasningen mellem de forskellige implantatkomponenter. Er gevindet ikke skarpt og veldefineret i begge sider, skal man tage et nyt billede, hvor man med fordel kan anvende huskereglen ”RB-RB/LB-LB”, som fortæller, hvordan vinklingen af tubus skal ændres ved omtagningen.
CBCT kan teoretisk set vise knogleniveauet på alle flader af implantatet. Teknikken kan dog ikke i udgangspunktet anbefales til undersøgelse af knogleforholdene omkring implantatet, da implantatets materiale danner artefakter, som gør det vanskeligt at vurdere den periimplantære knogle.
Ved føleforstyrrelser i området eller postoperative infektioner relateret til kæbehulen, som ikke kan afklares med 2D-optagelser eller klinisk, kan CBCT dog være indiceret til fx at vise relationen mellem implantat og anatomiske strukturer.
5. Stråledosisreducerende tiltag
En intraoral røntgenoptagelse eller panoramaoptagelse udsætter patienten for relativt lave røntgendoser. CBCT giver en væsentlig højere stråledosis, som varierer en del afhængigt af fabrikat og protokol (optagelsesparametre, såsom spatial opløsning og scanningsfelt, også kaldt field-of-view = FOV).
Uanset røntgenmetode skal man tilstræbe at minimere stråledosis ved at sørge for få omtagninger (vær omhyggelig med patientpositionering og apparatindstillinger, og sørg for, at patienten ikke bevæger sig under optagelsen). For panoramabilleder skal man altid overveje segmentering, dvs. om man kan afskære noget af kæberne i billedet og på denne måde reducere stråledosis.
For CBCT skal man vælge en så lav opløsning som muligt, hvor man stadig beholder en tilstrækkelig billedkvalitet til diagnostik, og et FOV, som ikke er større end nødvendigt. Sidstnævnte reducerer ikke kun stråledosis, men giver ofte en bedre billedkvalitet og et mindre felt at skulle beskrive.
Kilde:
Fuglsig-JMCES, Reis-INRD, Yeung-AWK, Bornstein-MM, Spin-Neto-R. The current role and future potential of digital diagnostic imaging in implant dentistry: A scoping review. Clin Oral Implants Res 2023;00:1-17. Doi: 10.1111/clr.14212.
Schropp-L, Stavropoulos-A, Spin-Neto-R, Wenzel-A. Huskeregel (RB-RB/LB-LB) til røntgenoptagelse af tandimplantater. Tandlægebladet 2012;12:880-7.