Tidlig eksartikulation af primære incisiver giver høj risiko for skader på permanente incisiver
En retrospektiv kohorteundersøgelse om forekomsten af skader på permanente incisiver efter eksartikulation af primære incisiver viser, at risikoen for permanente skader var højest, hvis børnene var 0-2 år på traumetidspunktet, og mindst, hvis de var over fire år.

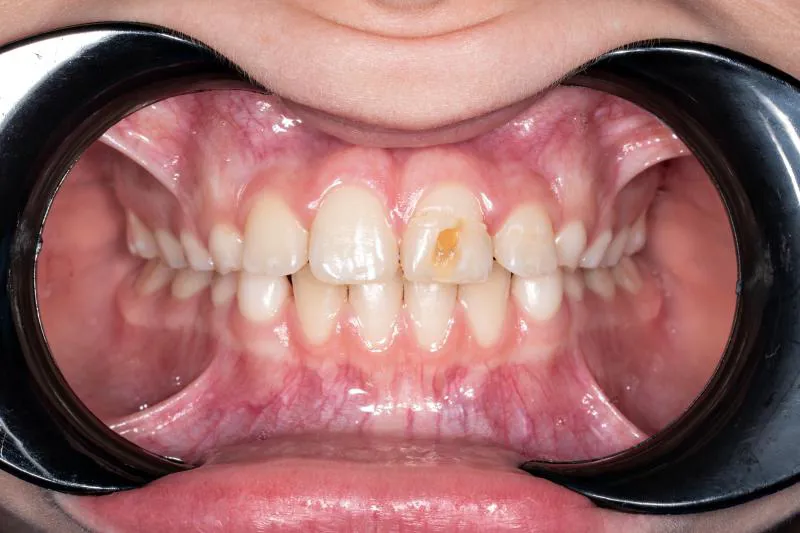
Eksartikulation af primære tænder udgør ca. en femtedel af alle tandtraumer i det primære tandsæt. Det er et alvorligt traume, der kan påvirke både tale og fødeindtagelse og desuden på sigt medføre pladsmangel i området. På grund af den tætte relation mellem primære tænder og permanente tandanlæg er der endvidere risiko for, at der i forbindelse med traumet sker skader på de permanente tænder.
Risikoen for permanente skader var højest, hvis børnene var 0-2 år på traumetidspunktet
Forskere fra Københavns Universitet og Rigshospitalet har sammen med brasilianske kolleger publiceret en retrospektiv kohorteundersøgelse om forekomsten af skader på permanente incisiver efter eksartikulation af primære incisiver. Ved gennemgang af journaler fra 2.922 børn, der i perioden 1998-2019 var blevet behandlet for tandtraumer på en universitetsklinik i São Paulo, fandt man 194 børn med i alt 266 eksartikulerede incisiver, og i 115 tilfælde (43,2 %) kunne der konstateres skader på de efterfølgende permanente tænder. Der blev registreret 15 forskellige typer af tanddannelsesforstyrrelser, og de hyppigst forekommende var hvidlige emaljeopaciteter og afgrænsede opaciteter med emaljehypoplasi.
Risikoen for permanente skader var højest, hvis børnene var 0-2 år på traumetidspunktet (56,9 %), og mindst, hvis de var over fire år (21,3 %). Risikoen for skader var højere efter eksartikulation i underkæben end i overkæben (RR = 1,45), og hvis flere end to tænder blev eksartikuleret (RR = 1,57).
Del Negro B, Lauridsen E, Mendes FM, Andreasen JO, Wanderley MT, Hermann NV. Impact of avulsion of the primary incisors on the occurrence of sequelae in the permanent teeth: A retrospective cohort study. Community Dent Oral Epidemiol. 2021 Jul 26. https://doi.org/10.1111/cdoe.12686. [Online ahead of print].