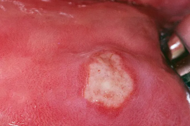
Thalidomid mod orale slimhindelidelser?
I Danmark anvendes thalidomid i dag kun til behandling af myelomatose hos patienter over 65 år. Men i England beskriver forskere 12 tilfælde, hvor patienter har fået thalidomid mod læsioner i mundslimhinden.

Thalidomid-skalaen huskes stadig af mange ældre danskere.
I starten af 1960’erne blev der på verdensplan født ca. 10.000 børn med svære misdannelser (manglende eller stærkt deforme arme og ben), fordi deres mødre under svangerskabet havde indtaget lægemidlet thalidomid for at modvirke morgenkvalme.
I Danmark drejede det sig om 20 børn, og først i 2019 fik de seks af dem, der stadig var i live, en økonomisk erstatning og en officiel undskyldning fra den danske stat.
I Danmark anvendes thalidomid i dag kun til behandling af myelomatose hos patienter over 65 år.
Men i andre lande er man åbenbart mindre restriktive.
Britiske forskere beskriver således 12 tilfælde, hvor patienter har fået thalidomid mod læsioner i mundslimhinden.
Det er besynderligt, at de betegner thalidomid som et præparat med god efficacy-to-safety ratio
Ni af patienterne fik thalidomid mod recidiverende aftøs stomatitis, to mod HIV-relaterede ulcerationer og en mod orale manifestationer af morbus Crohn.
Præparatet blev givet dagligt eller hver tredje dag i gennemsnitligt 37 måneder.
Forskerne angiver, at seks af patienterne blev fuldstændig raske efter behandlingen, og at fem patienter udviklede neuropatiske bivirkninger.
På den baggrund virker det besynderligt, at de betegner thalidomid som et præparat med god efficacy-to-safety ratio.
Set i lyset af den kendte risiko for fosterskader er det endvidere tankevækkende, at fire af patienterne var kvinder i den fødedygtige alder.
Kilde: Harte MC, Saunsbury TA, Hodgson TA. Thalidomide use i the management of oromucosal disease: a 10-year review of safety and efficacy in 12 patients. Oral Surg Oral Med Oral Pathol Oral Radiol 2020;130;398-401.