Dybt bid for dummies
I Danmark bliver behandlingen af okklusionsafvigelser varetaget af dygtige specialtandlæger. Men alle tandlæger, der arbejder i både børne- og voksentandplejen, har ansvar for at opdage behandlingskrævende tilstande og sørge for, at patienterne bliver henvist til nærmere udredning og behandling hos specialtandlægerne. I denne guide, der er baseret på et svensk faktablad, kan du opfriske de vigtigste fakta om dybt bid.

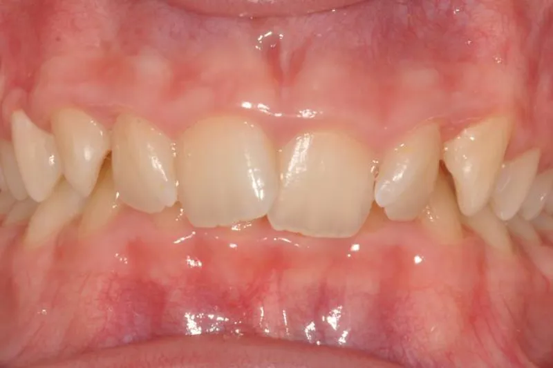
Hvad definerer dybt bid?
Dybt bid er en tilstand med forøget vertikalt overbid. Prævalensen blandt voksne skandinaver er omkring 8 %.
Mindst et af følgende kliniske tegn skal være til stede for at stille diagnosen dybt bid:
- gingival påbidning
- overkæbeincisiverne overlapper > 2/3 af underkæbeincisiverne
- vertikalt overbid på > 4 mm
Betegnelsen dækbid bliver undertiden brugt, når overkæbetænder i fronten bider helt forbi underkæbetænderne. I ekstreme tilfælde kan overbiddet være så stort, at overkæbeincisiverne har kontakt med slimhinden facialt for underkæbeincisiverne.
Hvornår skal du behandle dybt bid?
Det er ofte indiceret at behandle dybt bid hos voksne på følgende indikationer:
- nedsat tyggefunktion
- fonetiske problemer
- psykosociale eller æstetiske problemer
Du skal desuden være opmærksom på, at ubehandlet dybt bid kan være en risikofaktor for temporomandibulær dysfunktion, parodontale problemer og slid på incisiver og hjørnetænder.
Hvordan behandler du dybt bid?
Formålet med den ortodontiske behandling er at reducere det vertikale overbid og at normalisere kontakterne mellem fronttænderne i over- og underkæbe.
Dybt bid kan blive reduceret ved hjælp af:
- Intrusion af fronttænderne i underkæben
- Ekstrusion af tænderne i sidesegmenterne
Behandling af dybt bid hos voksne er ofte ganske omfattende. Da der ikke længere er nogen vertikal vækst i kæberne, er det svært at opnå ekstrusion i sidesegmenterne, og behandlingen koncentreres derfor om intrusion af fronten.
Du skal teste bidhøjden, inden du foretager en permanent bidhævning på voksne patienter. Dette kan du gøre ved hjælp af en lingvalbue med frontplateau eller en ganeplade med frontplateau.
Du foretager som regel selve behandlingen med fast apparatur, som du eventuelt kan supplere med aftageligt apparatur eller forankringselementer som miniskruer i kæbeknoglen eller palatinale buer.
Du skal så vidt muligt undgå ekstraktion af tænder, da det kan sænke biddet yderligere.
Kirurgisk korrektion er en mulighed ved behandling af basalt betinget dybt bid. Formålet er at øge den nedre ansigtshøjde ved fremføring af underkæben, til du opnår kontakt i incisivområdet. Efter operationen kan der undertiden opstå et lateralt åbent bid, som du efterfølgende må behandle protetisk med højdeforøgning af tænderne i sidesegmenterne eller ortodontisk med vertikale elastiktræk.
Hvordan vedligeholder du behandlingsresultatet?
Ortodontisk behandling af voksne er ofte langvarig, typisk 2-3 år, og prognosen er svær at bedømme. På grund af dårlig stabilitet anbefales langvarig ( livsvarig) retention med fx en aftagelig ganeplade med frontplateau.
Kilde
Kjellberg H. Djupbett. (Set 2019 januar). Tilgængelig fra: URL: https://www.internetodontologi.se/djupbett/