Behandlingsmuligheder ved ektopisk eruption af anden præmolar
Det er kun lette afvigelser ved retention af anden præmolar, der retter sig uden behandling, vurderer forskere fra Københavns Universitet og Rigshospitalet. De anbefaler derfor aktiv behandling, hvis der efter en kort periode ikke ses tegn på spontan eruption.

Retention af anden præmolar forekommer hos 0,2-0,3 % af befolkningen, og den hyppigste årsag til retentionen er ektopisk lejring af tanden.
Hvis tilstanden ikke behandles, kan der senere opstå pladsmangel i kæben og i sjældne tilfælde resorption af nabotanden.
Forskere fra Odontologisk Institut (KU) og Rigshospitalet har foretaget en retrospektiv, ikke-randomiseret resultatundersøgelse af 37 patienter, som i perioden 1964-1998 var blevet henvist for behandling af i alt 41 retinerede præmolarer (syv i overkæben, 34 i underkæben).
Alle tilfælde var blevet kontrolleret mindst et år efter endt behandling.
40 af de 41 tænder endte med at indtage normal plads i tandrækken, heraf kun fire uden behandling.
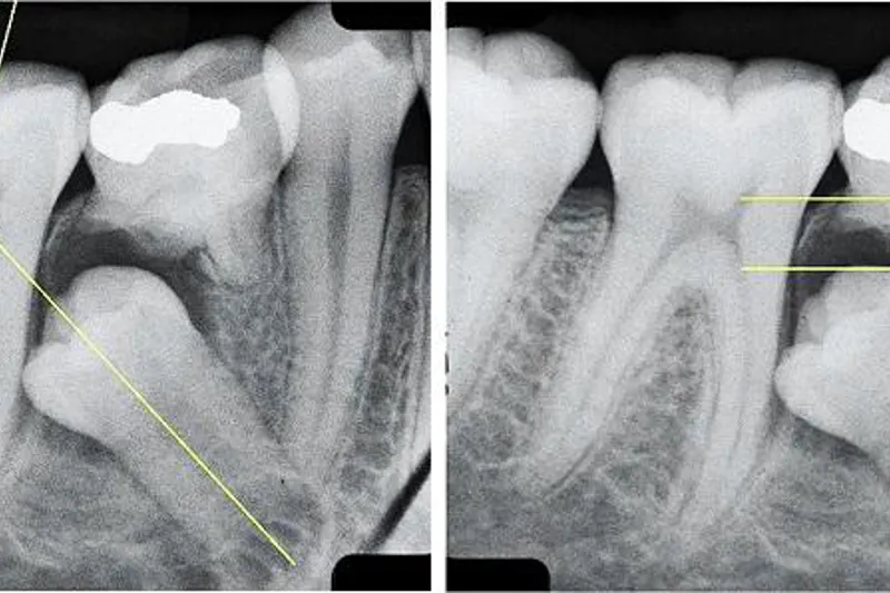
På basis af tændernes retentionsdybde og hældning i forhold til nabotandens længdeakse angav forfatterne følgende behandlingsmuligheder: ekstraktion af primær tand (dybde < 5 mm; hældning < 55°), kirurgisk blotlæggelse af permanent tandanlæg (dybde < 5,5 mm; hældning < 95°) og kirurgisk opretning af permanent tand (dybde >5,5 mm, uafhængigt af hældning).
Forfatterne konkluderer, at det kun er lette afvigelser, der retter sig uden behandling. De anbefaler derfor aktiv behandling, hvis der efter en kort observationsperiode ikke ses tegn på spontan eruption.