Monostotisk fibrøs dysplasi - genetisk analyse til præcisering af diagnosen
Histologi og molekylærbiologisk undersøgelse bekræfter mistanke om monostotisk fibrøs dysplasi, og behandlingsplan laves i samråd med børneafdeling.

Baggrund
Monostotisk fibrøs dysplasi er den hyppigst forekommende fibrøse dysplasi. I ansigtsskelettet ses den klinisk som en asymptomatisk langsomt voksende hævelse med normalslimhindedække. Behandlingsstrategien er afhængig af symptomer og alder og varierer fra løbende kontroller og hormonbehandling til kirurgisk konturering af asymmetri i ansigtet. I de senere år er det blevet klarlagt, at en somatisk mutation i genet GNAS1 er årsag til sygdommen.
Patienttilfælde
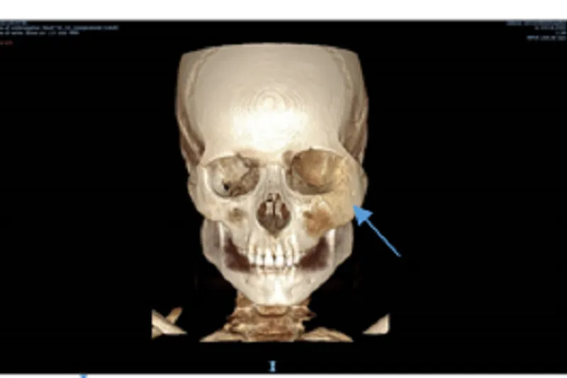
En 13-årig pige med massiv hævelse i venstre side af ansigtsskelettet blev henvist til kæbekirurgisk afdeling, Odense Universitetshospital, for diagnose og behandling. Histologisk undersøgelse var forenelig med fibrøs dysplasi, og genetisk undersøgelse bekræftede diagnosen.
Konklusion
Histologi og molekylærbiologisk undersøgelse bekræfter mistanke om monostotisk fibrøs dysplasi, og behandlingsplan laves i samråd med børneafdeling.
Klinisk relevans:
Rutinemæssig odontologisk undersøgelse er ofte kombineret med radiologisk optagelse. Fibrøs dysplasi opdages ofte som tilfældigt radiologisk fund. Kendskab til det radiologiske udseende af tilstand og differentialdiagnose er derfor relevant for tandlæger i primær sektor for tidligere diagnose og patientvejledning.